TS.BS Lê Lệnh Lương
Trưởng khoa CĐHA BVĐK Tỉnh Thanh hóa
Phân loại CO-RADS là hệ thống mô tả chuẩn các bệnh nhân nghi ngờ nhiễm COVID 19 từ mức độ thấp đến cao, dựa trên các dấu hiệu trên CT phổi nhằm phân loại xác định khả năng nhiễm COVID 19 rất thấp (CO-RADS 1) cho đến rất cao (CO-RADS 5) & xác định mức độ nặng, giai đoạn của bệnh bằng sự nhận xét sự thâm nhập & chẩn đoán phân biệt.
CO-RADS được báo cáo ngày 25/3/2020 bởi các nhà Điện quang Hà Lan, đang làm việc, nghiên cứu về COVID 19 (COVID working group of the Dutch Radiological Society)
———————————————————————————————–
- I. Ý nghĩa phân loại CO-RADS:
Bảng 1:
| CO-RADS (Mức độ nghi ngờ nhiễm COVID 19) | ||
| Phân độ | Khả năng nhiễm | Dấu hiệu CT | 
| CO-RADS 1 | Không | Bình thường | 
| CO-RADS 2 | Thấp | Tổn thương trên CT, nhưng nghĩ nhiều đến do nguyên nhân khác hơn là COVID 19 | 
| CO-RADS 3 | Vừa | Tổn thương trên CT, không rõ ràng do COVID 19 | 
| CO-RADS 4 | Cao | Tổn thương trên CT, nghi ngờ do COVID 19 | 
| CO-RADS 5 | Rất cao | Tổn thương trên CT, điển hình do COVID 19 | 
| CO-RADS 6 | PCR (+) | 
 | 
- II. Đặc điểm hình ảnh tổn thương điển hình, không điển hình & rất không điển hình với COVID 19 trên CT:
Bảng 2:
| Tổn thương CT | Đặc điểm | Mô tả tổn thương | 
| 
 
 
 
 
 Điển hình | 
 Dạng tổn thương | Kính mờ | 
| Kính mờ + đông đặc | ||
| Dải mờ | ||
| Giãn mạch | ||
| Hình dạng tổn thương | Tròn | |
| Số lượng tổn thương | Đa ổ | |
| Phân bố tổn thương | Ngoại vi, nền, phía sau | |
| Ranh giới tổn thương | Không rõ ràng | |
| 
 Dấu hiệu (Signs) | Lát gạch | |
| Cuồng sáng | ||
| Mạng nhện | ||
| 
 Không điển hình | Phân bố tổn thương | Vùng trung tâm | 
| Quanh PQ & MM | ||
| Bệnh lý hạch | Hạch trung thất | |
| 
 
 Rất không điển hình | 
 Dạng tổn thương | Có hang, vôi hóa | 
| Dấu hiệu búp cây, VPQ | ||
| Dạng nốt | ||
| Dạng khối | ||
| Màng phổi | Dầy | 
- III. Phân loại CO-RADS:
Bảng 3:
| Phân loại | Đặc điểm CT | 
| CO-RADS 1 | + Bình thường + Hoặc có tổn thương giống với bệnh lý khác | 
| CO-RADS 2 | + Tổn thương giống bệnh lý khác trên CT: Như giãn nhẹ phế quản, dây thành PQ, Tree-in-bub sign. + Không thấy tổn thương kính mờ | 
| CO-RADS 3 | + Tổn thương CT không chắc do COVID 19, giống với viêm phổi thùy, viêm phế quản phổi do vi khuẩn + Có tổn thương kính mờ (đơn ổ, hình tam giác) | 
| 
 CO-RADS 4 | + Tổn thương CT nghi ngờ cao do COVID 19 hơn so với các bệnh phổi khác + Tổn thương kính mờ + đông đặc + Tổn thương đa ổ | 
| CO-RADS 5 | + Các tổn thương CT với các dạng tổn thương điển hình (bảng 2) | 
| CO-RADS 6 | + Có KQ PCR dương tính với COVID 19. | 
Một số hình ảnh CT theo phân tích phân loại CO-RADS:
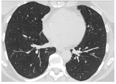
CO-RADS 1: Hình 1
 
Hình 1: CT phổi bình thường
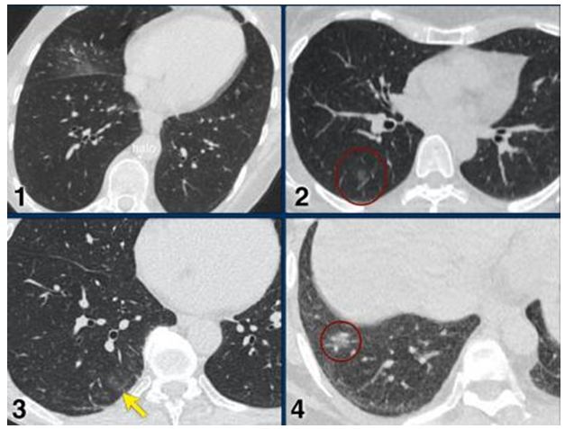
CO-RADS 2: Hình 2 – 3 – 4
 Hình 2: Hình ảnh tổn thương CT: “Tree-in-bub sign” vùng ngoại vi phân thùy sau dưới bên phải, giãn & dầy nhẹ thành phế quản vùng trung tâm thùy dưới phổi trái. Không thấy tổn thương GGO. (Tổn thương giống viêm phế quản hơn COVID 19)
  
Hình 3: Hình ảnh tổn thương CT bao gồm giãn & dầy nhẹ thành phế quản, “tree-in-bub sign” & hình đông đặc. Không thấy tổn thương GGO.
 
Hình 4: Hình ảnh tổn thương CT bao gồm đông đặc thùy phổi & “tree-in-bub sign” (mũi tên). BN bị viêm phổi do nhiễm khuẩn lan tràn theo đường phế quản (dấu hiệu búp cây).
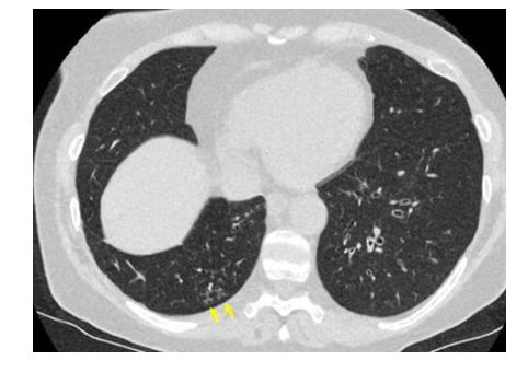
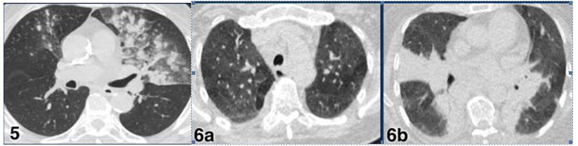
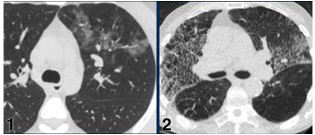
CO-RADS 3: Hình 5 & 6
 
Hình 5:
Trường hợp 1: Tổn thương GGO bên phải (duy nhất 1 vị trí). PCR (-) với COVID 19
Trường hợp 2: Tổn thương GGO duy nhất phân thùy sau dưới phải (vòng tròn)
Trường hợp 3: Tổn thương GGO duy nhất khu trú phân thùy sau phải (mũi tên)
Trường hợp 4: Tổn thương GGO duy nhất phân thùy sau dưới phải (vòng tròn)
 
Hình 6:
Trường hợp 5: Tổn thương nhiều ổ đông đặc kết hợp GGO. PCR (-) với COVID 19
Trường hợp 6a & b: Tổn thương đồng đặc cả 2 bên kết hợp GGO lan tỏa (BN Nhiễm cúm A)
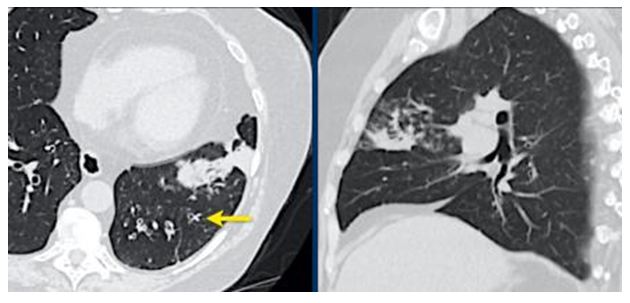
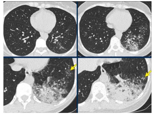
CO-RADS 4: Hình 7
Hình 7:
Trường hợp 1: Tổn thương GGO nhiều ổ bên trái thùy trên, PCR (+) với COVID 19
Trường hợp 2: Tổn thương GGO kèm theo thấy “Spider web sign” cả 2 bên
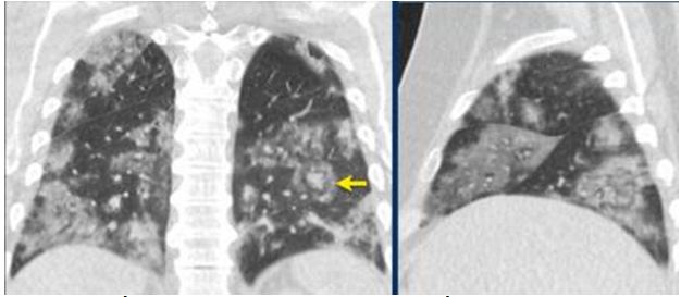
CO-RADS 5: Hình 8 & 9
Hình 8:
Trường hợp 1: Tổn thương đa ổ dạng GGO & đông đặc
Trường hợp 2: Tổn thương đa ổ dạng GGO kèm theo giãn mạch (vòng tròn) & dải băng dưới màng phổi (mũi tên)
Trường hợp 3: Tổn thương GGO & đông đặc cả 2 bên xu hướng vùng sau ngoại vi & nền phổi kèm theo giãn mạch (vòng tròn)
 
Hình 9:
Trường hợp 4 a & b: Tổn thương đa ổ dạng GGO & đông đặc cả 2 bên phổi
Trường hợp 5a & b: Tổn thương đa ổ dạng GGO & đông đặc xu hướng vùng ngoại vi vùng sau.
CO-RADS 6:
Hình 10: Tổn thương đa ổ dạng GGO hai bên kèm theo thấy “reversed halo sign”. PCR (+) với COVID 19.
Tài liệu tham khảo
- COVID 19 CO-RADS Classification(2020). The Radiology Assitant Education site of the Radiological Society of Netherlands.
- COVID 19 imaging findings(2020). The Radiology Assitant Education site of the Radiological Society of Netherlands.

