BSCK II Nguyễn Hoành Sâm
Tóm tắt.
Hội chứng Fahr là hội chứng hiếm gặp với đặc trưng vôi hóa nội sọ đối xứng hai bên ở hạch nền, đồi thị, nhân răng, trung tâm bán bầu dục. Chúng tôi trình bày trường hợp hội chứng Fahr phát hiện tại khoa nội thần kinh Bệnh Viện Đa Khoa tỉnh Thanh Hoá.
SUMMARY
Fahr’s syndrome is a rare syndrome characterized by symmetrical bilateral intracranial calcifications in the basal ganglia, thalamus, dentate nuclei and centrum semiovale. In this study, we discuss case of Fahr’s syndrome presented at the Neurology department of Thanh hoa general hospital.
ĐẶT VẤN ĐỀ
Bệnh Fahr hoặc hội chứng Fahr là một rối loạn thần kinh tiến triển đặc trưng bởi hiện diện canxi bất thường ở hạch nền và vỏ não ảnh hưởng đến kiểm soát vận động và rối loạn tâm thần. Bệnh do tiến sĩ Bamberger mô tả lần đầu tiên vào năm 1885 sự hiện diện vôi hóa đối xứng hai bên ở hạch nền[1], đến năm 1930 Karh Theodor Fahr, nhà thần kinh học người Đức mô tả một trường hợp vôi hóa hai bên ở hạch nền và những phần khác của não. Những báo cáo trong y văn bệnh thường có tính gia đình và di truyền trội, nhưng cũng có vài trường hợp di truyền lặn được báo cáo[5]. Liên quan giữa bất thường kiểu hình và bất thường gen vẫn chưa rõ ràng mặc dù gần đây người ta đã xác định bệnh liên quan đến cánh dài nhiễm sắc thể 14q. Có rất ít báo cáo về bệnh này vì số lượng bệnh ít và hiện chưa có biện pháp điều trị hiệu quả.
Ở Việt Nam 1996 giáo sư Lê Văn Thành[11] báo cáo 01 trường hợp bệnh Fahr ở một bệnh nhân nam 32 tuổi không tiền sử cắt tuyến giáp và trong gia đình không có ai mắc bệnh tương tự. Bệnh tiến triển với các triệu chứng suy tuyến cận giáp, sa sút trí tuệ, mờ mắt, thỉnh thoảng có cơn hạ canxi huyết.
Năm 2012 Mai Nhật Quang và Nguyễn Trọng Tân, khoa Nội Thần kinh, BV An Giang báo cáo 02 trường hợp hội chứng Fahr phát hiện tình cờ tại khoa Nội thần kinh, một trường hợp trên bệnh nhân cắt tuyến giáp cách nay 9 năm và một trường hợp bệnh nhân cắt tuyến giáp cách nay 20 năm
Case lâm sàng tại Thanh Hoá
Bệnh nhân Nguyễn Thị Thanh 64 tuổi tiền sử cắt tuyến giáp cách 15 năm thỉnh thoảng có lên cơn hạ huyết calci huyết .Vào khoa tim mạch ngày 29/1/2018 với chẩn đoán tăng huyết áp / parkinson chụp cắt lớp vi tính sọ não có hình ảnh vôi hóa nhân nền sọ và riểu não hai bên hội chẩn chuyển khoa thần kinh điều trị ngày 31/1/2018 trong tình trạng loạn thần tăng trương lực cơ toàn thân, run 2 tay và 2 chân và đươc điều trị theo phác đồ hạ huyết áp bằng lợi tiều, ức chế men chuyển, Madopar
Đang điều trị đến 15h ngày 1/2/2018 xuất hiện đột ngột ngừng tim ngừng thở, mất ý thức được tiến hành cấp cứu ngừng tuần hoàn bệnh tim đập lại tự thở yếu và được thông khí nhân tạo xâm nhập ý thức tỉnh lại HA 100/60 Mạch 120ck/phút
Ngày 2/2/2018 trong quá trình theo dõi monitor xuất hiện cơn rung thất bệnh nhân được điều trị bổ sung kali, calci clorid, magne tim đập đều trở lại hết rung thất huyết động ổn định chỉ định xét nghiệm calci ion hoá, hormon tuyến giáp trong đó calci ion hoá giảm nhiều
Kết quả xét nghiệm:
CTM : HC 4 T/l, BC 9G/l, TC 320 G/l
Sinh hoá : Ure :5,4 Createnin 70,3 . Glucose 5,5 . Na 137 mmol/l, K 3,41 mmol/l. Cl 91,3 mmol/l
Ngày 2/2/2018 xét nghiệm calci toàn phần 0,45. Cal ci ion hoá 0,327, Na 137, k 3,3 cl 84, FT3 3,5 FT4 15,6 TSH 0,406
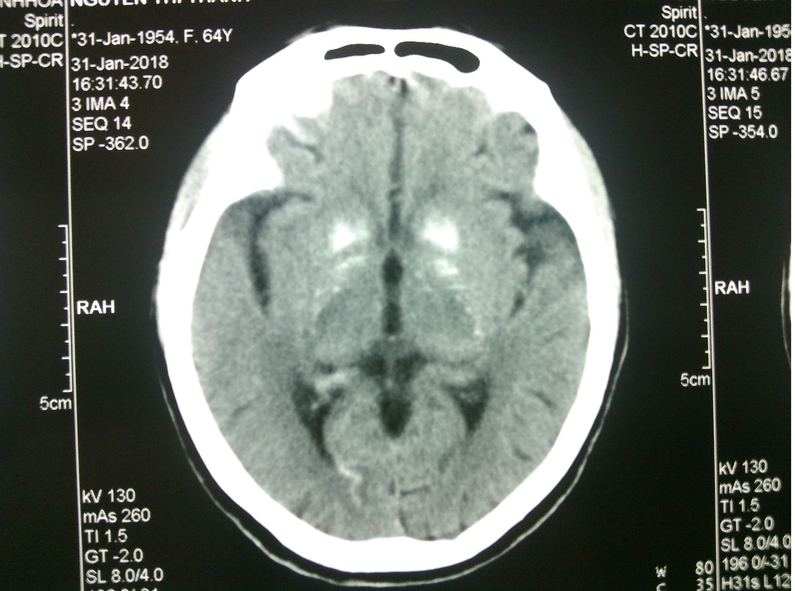
Chụp CLVT sọ não ngày 31/1/2018 hình ảnh vôi hoá nhân bèo, tiểu não đối xứng 2 bên
Hình ảnh điện tim đồ trên monitor
Theo dõi monitor bệnh nhân đang nhịp xoang chuyển sang rung thất
Hình ảnh rung thất
Và từ rung thất chuyển sang nhịp xoang
BÀN LUẬN :
Hội chứng Fahr được cho là một rối loạn tâm thần kinh do thoái hoá hiếm gặpvà không rõ tần suất, rối loạn tâm thần kinh biểu hiện tình trạng co giật, hội chứng ngoại tháp và các triệu chứng tâm thần kinh khác, triệu chưng này được coi như là kết quả của sự calci hoá đối xứng 2 bên nhân bèo, nhân cầu nhạt vùng nền sọ, nhân răng của tiểu não, và chất trắng của vỏ não ở nền sọ . Triệu chứng này liên quan nhiều nhất đến rối loạn chuyển hoá calci và phốtphat đặc biệt là giảm hormon tuyến cận giáp nhưng cũng có thể do nguyên nhân khác như nhiễm trùng, rối loạn chuyển hoá và các bệnh di truyền.[4],[7],[10]
Biểu hiện lâm sàng có thể là co giật, giật cơ, tetany, run kiểu parkinson, rối loạn tâm thần kinh ( như rối loạn nhận thức và rối loạn tâm thần). Điều trị sớm nếu chỉ định đúng có thể đảo ngược được các triệu chứng thần kinh và ngăn chặn được tiến triển mạn tính các triệu chứng này vì vậy tầm quan trọng của việc nhận thức biểu hiện lâm sàng phát hiện giai đoạn sớm của bệnh là rất cần thiết.
Hầu hết thông báo các case lâm sàng của hội chứng Fahr đều do hạ hormon tuyến cận giáp sau cắt bỏ tuyến giáp
Bệnh sinh: cơ chế bệnh sinh chưa được hiểu một cách rõ ràng. Kobayashi và cộng sự[12] sử dụng kính hiển vi điện tử mô tả khởi đầu tổn thương tế bào quanh mạch thúc đẩy sự tích lũy mucopolysaccharid trong bào tương theo sau bởi sự lắng đọng chất khoáng. Những gợi ý khác bất thường chuyển hóa oxy nội sọ sau khi quan sát thấy mức lactate dịch não tủy cao trong một vài trường hợp, lắng đọng canxi và những chất khoáng khác được tìm thấy ở thành mao mạch, tiểu động mạch, mạch máu nhỏ và khoảng quanh mạch, nghiên cứu bệnh học cho thấy canxi là thành phần hiện diện nhiều nhất
Biểu hiện lâm sàng: hội chứng Fahr có thể biểu hiện với triệu chứng tâm thần, ngoại tháp, tiểu não[7],[8]. Triệu chứng tâm thần thường gặp nhất trong hội chứng Fahr là tâm thần phân liệt như rối loạn tâm thần, rối loạn khí sắc, rối loạn dạng cơ thể và rối loạn nhận thức, mất chức năng điều hành vận động đáng kể, những tình trạng này được gây ra bởi mất dẫn truyền vỏ dưới vỏ gián tiếp bởi hạch nền đặc biệt liên quan đến vòng viền trán vân, triệu chứng thần kinh bao gồm rối loạn vận động như hội chứng parkinson, co cứng cơ, tics, sự biến đổi lời nói, động kinh với cơn co cứng co giật toàn thể và khiếm khuyết vận động có lẽ do suy giảm hệ vận động trán thể vân.
Chẩn đoán hội chứng Fahr dựa vào lâm sàng, hình ảnh não và loại trừ các nguyên nhân vôi hóa nội sọ khác. Vôi hóa đối xứng lan tỏa ở hạch nền, nhân răng, trung tâm bán bầu dục là đặc trưng và dễ thấy ở hội chứng Fahr.
Diễn tiến : không có cách chữa cho hội chứng Fahr, bệnh nặng dần theo thời gian và cuối cùng là tử vong.
Hình ảnh học: CT đầu là công cụ hiệu quả sàng lọc hội chứng Fahr, vôi hóa nội sọ có thể xảy ra 0.3 – 1.2% các trường hợp chụp CT đầu[2]
Điện não đồ: không có giá trị trong chẩn đoán hội chứng Fahr
Trường hợp của chúng tôi có tiền căn mổ cắt tuyến giáp, không có tiền sử gia đình, các anh chị em trong gia đình đều bình thường, tiền sử lên nhiều cơn hạ calci huyếtvà đang điều trị parkinson 2 năm nay, canxi máu giảm nặng. Một bệnh nhân có biểu hiện triệu chứng tâm thần, một bệnh nhân biểu hiện triệu chứng hạ canxi máu. CT đầu vôi hóa đối xứng hai bên ở hạch nền, nhân răng, trung tâm bán bầu dục. Bệnh nhân được điều trị với bù canxi và vitamin D, magne, triệu chứng lâm sàng cải thiện và sau đó người bệnh xuất viện.
Tuy nhiên trong quá trình theo dõi điều trị bệnh nhân có diễn biến đột ngột ngừng tim vấn đề này có thể liên quan đến rối loạn điện giải mà trực tiếp là hạ calci và magne máu. Cho nên việc theo dõi liên tục điện giải đồ và điện tim có ý nghĩa rất lớn tránh tình trạng đột tử cho bệnh nhân. Việc xét nghiệm điện giải đồ trong đó có ion calci hoá và magne, calcitonin có ý nghĩa quan trọng.
KẾT LUẬN:
Hội chứng Fahr có thể gặp trong nhiều bệnh lý như bệnh Fahr, các bệnh lý nhiễm trùng, nhiễm độc chì, sau điều trị methotrexate[3], …. Triệu chứng lâm sàng phong phú như: đau đầu, chóng mặt, liệt, co cứng cơ, thay đổi giọng nói, hôn mê, sa sút trí tuệ, hội chứng Parkinson, run, tụt huyết áp tư thế đứng. Những bệnh nhân có biểu hiện triệu chứng tâm thần hoặc hạ canxi máu ở bệnh nhân có tiền căn mổ tuyến giáp nên chụp CT đầu để sàng lọc phát hiện sớm hội chứng Fahr. Việc điều trị cần chú ý rối loạn điện giải do hạ calci và magne máu để bổ sung kịp thời tránh nhứng rối loạn nhịp tim nghiêm trọng.
TÀI LIỆU THAM KHẢO:
1. Bamberger PH. Beobactungen und bemerkungen uber hirnkrankhaiten. Verh Phys Med Ges Wurzburg 1855; 6:325-328.
2. Harrington M G, Macpherson P, McIntosh WB et al. The significance of the incidental finding of basal ganglia calcification on computed tomography. J.Neurol. Neurosurg. Psychiat. 44:- 1168-1170, 1981
3. Mehmet SENOGLU, Deniz TUNCEL, F.Ozlem ORHAN, Zafer YUKSEL, Mustaf GOKCE. Fahr’s Syndrome: A Report of Two Cases Fırat Tıp Dergisi 2007;12(1): 70-72
4. Ajay Mittal, BK Agrawal, Amit Mittal, Praveen Gupta, Anuj Jain . Fahr’s Syndrome: a Rare Case of Idiopathic Basal Ganglia Calcification. JIACM 2010; 11(3): 239-41
5. O P Sharma and S Senthil Fahr’s Disease: Report of Two Cases Asian Journal of Medical Sciences 2 (2011) 120-123
6. Nayek K, Pati S, Banerjee A, Bhattacharjya S. Fahr’s Disease: An Uncommon Cause of Intracranial Calcification in Children J. Nepal Paediatr. Soc January-April, 2012/Vol 32/Issue 1
7. Murat Gulsun, Ali Fuat Baykız , Serdar Kabatas, Hasan Belli. FAHR SYNDROME
Three cases presenting with psychiatric signs Eur J Gen Med 2006; 3(1):35-40
8. S. Srivastava, Manjeet S. Bhatia, V. Sharma, S. Mahajan, G. Rajender Fahr’s Disease: An Incidental Finding in a Case Presenting with Psychosis German J Psychiatry 2010; 13 (2): 86-90).
09. Kotan D, Aygul R. Familial Fahr disease in a Turkish family. South Med J. 2009
Jan;102(1):85-6.
10. M. LAZAR, DANIELA ADRIANA ION, A. STREINU-CERCEL, ANCA IOANA BADARAU. Fahr’s syndrome: diagnosis issues in patients with unknown family history
of disease. Romanian Journal of Morphology and Embryology 2009, 50(3):425–428
11. Lê Văn Thành, Bùi Bạch Lan. Báo cáo trường hợp bệnh Fahr. Sinh hoạt chuyên đề nội thần kinh năm 1996
12. Kobayashi S, Yamadori I, Ohmori M. Idiopathic nonatherosclerotic cerebral calcifcation (Fahr’s disease): an electron microscopic study. Acta Neuropathol 1987;73:62 – 66.
