TS. Trương Thanh tùng
(Phó khoa Ngoại Tiết niệu)
- 1.     Trường hợp:
 
Bệnh nhân Mai Thị T, 56 tuổi. Quê Quán: Thạch Thành, Thanh Hóa. Tiền sử mổ lấy sỏi niệu quản phải 1/3 trên cách 10 năm. Vào viện ngày 13.8.2017 với biểu hiện đau thắt lưng phải, sốt 380C, đại tiện phân nhão, tiểu tiện bình thường. Khám da vùng thắt lưng phải nề đỏ, ấn đau, chạm thận (-), rung thận (+), bụng mền, hố chậu phải và điểm ruột thừa đau không rõ ràng.
Bệnh nhân được xét nghiệm máu Bạch cầu 3.3 x 109/l, Nơtro 87%, chức năng gan thận bình thường. Xét nghiệm nước tiểu bình thường. Siêu âm: Thận phải kích thước nhỏ hơn bình thường, nhu mô thận không đều, đài bể thận giãn nhẹ, có dịch quanh thận phải, dịch trong tổ chức da vùng thắt lưng phải. Ống tiêu hóa ở vùng hạ sườn phải thành dày, có dịch ổ bụng vùng hạ vị. CTscan: Hình ảnh teo thận phải, có ít dịch kèm thâm nhiễm mỡ quanh thận phải, dịch màng phổi phải.
Chẩn đoán trước mổ: Áp xe quanh thận phải, chưa loại trừ bệnh lý do viêm ruột thừa.
 
Chẩn đoán sau mổ: Viêm ruột thừa sau manh tràng vỡ gây áp xe khoang sau phúc mạc, áp xe quanh thận.
 
Phương pháp phẫu thuật: Cắt ruột thừa viêm, làm sạch và dẫn lưu ổ áp xe.
 
Điều trị hậu phẫu: Bệnh nhân được thay băng và dùng kháng sinh theo kháng sinh đồ với chủng vi khuẩn thu nhận được qua cấy dịch mủ ổ áp xe là Klebsiella Pneumoniae. Ống dẫn lưu sau phúc mạc được rút sau 7 ngày, bệnh nhân ổn định và ra viện sau 8 ngày.
- 2.     Bàn luận:
 - A.    Áp xe khoang sau phúc mạc (retroperitoneal abscess):  
 
Đây là tình trạng bệnh lý không thường xuyên gặp đối với các Phẫu thuật viên. Mặc dù đã có nhiều phân loại phức tạp dựa trên giải phẫu học được đề xuất, tuy nhiên phân loại dựa trên sự kết hợp của giải phẫu học và lâm sàng học vẫn là tương đối đơn giản, phân loại này chia ra:
 
+ Áp xe quanh thận;
+ Áp xe sau phúc mạc trên (trên mào chậu);
+ Áp xe vùng chậu;
+ Áp xe kết hợp giữa sau phúc mạc trên và áp xe vùng chậu;
+ Áp xe cơ.
Trong đó áp xe quanh thận là hay gặp nhất và thường là kết quả của nhiễm trùng thận hoặc phẫu thuật thận gần đây. Những nguyên nhân khác gây áp xe sau phúc mạc bao gồm: chấn thương; rò ung thư; viêm tụy; viêm ruột thừa. Áp xe cơ, đặc biệt là áp xe cơ Psoas thường do bệnh Crohn hoặc rò ung thư, nhưng đôi khi cũng đến từ các bệnh lý nhiễm trùng cột sống và lao.
Phần lớn bệnh nhân bị áp xe sau phúc mạc có diến biến âm thầm với các triệu chứng như khó chịu, sốt, buồn nôn, và sút cân. Đau là triệu chứng hay gặp ở 50% các bệnh nhân, đặc biệt là những bệnh nhân có áp xe cơ Psoas, đau có thể lan đến hông, háng hay đầu gối. Các bệnh lý thường hay kết hợp là: đái tháo đường; xơ gan; và suy thận.
Chẩn đoán áp xe sau phúc mạc thường dựa trên hình ảnh chụp CTscan.
Điều trị chủ yếu là dẫn lưu ổ áp xe và dùng kháng sinh đặc hiệu (theo KSĐ). Tỷ lệ tử vong nếu điều trị muộn khoảng 20% – 30%.
- B.    Viêm ruột thừa gây áp xe khoang sau phúc mạc (appendicitis caused retroperitoneal abscess):
 
Bệnh lý viêm ruột thừa diễn biến theo chiều hướng gây áp xe khoang sau phúc mạc thường gặp với tỷ lệ rất thấp, nếu tra cứu trên Pubmed từ năm 1955 đến 2017 thì chỉ có 28 ca được báo cáo bởi 25 tác giả. Viêm ruột thừa sau manh tràng (retrocaecal Appendicitis) khi vỡ và rò ra khoang sau phúc mạc sẽ gây biến chứng áp xe khoang sau phúc mạc, biến chứng có thể ảnh hưởng đến cơ Psoas, cơ đùi, bìu dái, quanh thận, hay thậm chí là màng phổi và trung thất, đây là những biến chứng nghiêm trọng có thể đe dọa đến tính mạng bệnh nhân nếu không được điều trị sớm. Để hạn chế được tỷ lệ tử vong thì chúng ta phải luôn cảnh giác cao, chẩn đoán chính xác và điều trị thích hợp, kịp thời đối với bệnh lý này.

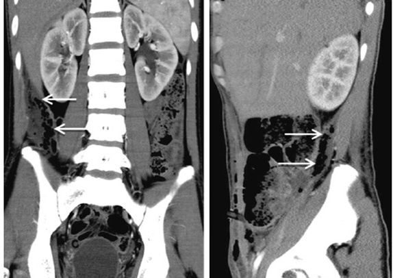
Các mũi tên trắng chỉ hình ảnh khí ở khoang sau phúc mạc bên phải
Đứng trước những bệnh nhân có biểu hiện triệu chứng của một áp xe khoang sau phúc mạc, chúng ta cần phải khai thác kỹ những dấu hiệu sớm có thể định hướng tới nguyên nhân là do viêm ruột thừa sau manh tràng vỡ và rò ra khoang sau phúc mạc, như: đau mơ hồ vùng hố chậu phải và phía trên mào chậu, rối loạn tiêu hóa, sốt … Qua đó để đưa ra quyết định chụp CTscan ổ bụng sớm là hết sức cần thiết. Hình ảnh đặc trưng của viêm ruột thừa sau manh tràng vỡ và rò ra khoang sau phúc mạc giai đoạn sớm là hình ảnh khí ở khoang sau phúc mạc (Retroperitoneal Air) phía sau manh tràng. Với giai đoạn muộn chúng ta vẫn thấy những hình ảnh khí sau phúc mạc, tuy nhiên lúc này hình ảnh khí có thể lan tới đùi, bìu dái, sau dưới gan, hoặc thậm chí lên tận màng phổi và trung thất
- C.   Một số phân tích về trường hợp bệnh nhân:
 
Bệnh nhân có khởi phát bằng đau nhẹ vùng hố chậu phải, manh tràng, sốt, rối loạn tiêu hóa, tiểu tiện bình thường, đây là những định hướng ban đầu có thể gợi ý chúng ta nên chú ý đến một bệnh lý ruột thừa.
Khi vào viện thì mới biểu hiện đau khu trú nhiều ở vùng thắt lưng phải, sưng nề đỏ vùng thắt lưng phải, sốt, xét nghiệm tăng tỷ lệ bạch cầu nơtro, xét nghiệm nước tiểu bình thường, siêu âm dịch quanh thận, dịch tổ chức dưới da vùng thắt lưng phải. Lúc này định hướng chẩn đoán là một áp xe quanh thận phải gây viêm thâm nhiễm tổ chức dưới da vùng thắt lưng phải.
Mặc dù có chỉ định chụp CTscan nhưng đây chỉ là chỉ định để phục vụ việc tăng sức thuyết phục cho chẩn đoán áp xe quanh thận phải và việc lên kế hoạch phẫu thuật, hoàn toàn chưa có ý thức chẩn đoán nguyên nhân là do viêm ruột thừa sau manh tràng vỡ rò ra khoang sau phúc mạc. Cho nên trong quá trình chụp CTscan cũng chưa quan sát kỹ tình trạng có khí ở khoang sau phúc mạc hay chưa.
Khi phẫu thuật, vào thấy ổ áp xe ở phía dưới cực dưới thận, tổ chức quanh cực dưới thận thâm nhiễm ít, kiểm tra thận phải kích thước nhỏ hơn bình thường, thận phải và quanh thận phải không có biểu viêm nhiễm hay áp xe. Lúc này phẫu thuật viên đã liên tưởng đến những dấu hiệu gợi ý từ khi khởi phát và đặt câu hỏi liệu có phải do viêm ruột thừa sau manh tràng vỡ rò ra không? Chính đây là mấu chốt để phẫu thuật viên kiểm tra ruột thừa và khi kiểm tra vùng sau manh tràng đã phát hiện ra nguyên nhân là do ruột thừa sau manh tràng bị viêm hoại tử vỡ ra khoang sau phúc mạc với nhiều mủ mùi thối khẳn (kết quả cấy khuẩn là Klebsiella Pneumoniae).
Điều trị đã giải quyết được nguyên nhân (cắt ruột thừa viêm), dẫn lưu ổ áp xe và dùng kháng sinh theo kháng sinh đồ. Đây là cách điều trị đúng hướng nên bệnh nhân đã ổn định và ra viện sau 8 ngày.
- 3.     Kết luận:
 
Viêm ruột thừa sau manh tràng vỡ rò ra khoang sau phúc mạc gây viêm và áp xe khoang sau phúc mạc là bệnh lý gặp với tỷ lệ rất thấp. Tỷ lệ tử vong nếu điều trị muộn khoảng 20% – 30%. Để chẩn đoán chính xác, điều trị thích hợp và kịp thời đối với bệnh lý này chúng ta phải luôn cảnh giác cao trong những trường hợp áp xe khoang sau phúc mạc có những biểu hiện khởi phát hay triệu chứng kết hợp của viêm ruột thừa. CTscan là phương tiện chẩn đoán hình ảnh hỗ trợ tốt cho những trường hợp này với dấu hiệu có khí ở khoang sau phúc mạc.
