BsCK II. Phạm Gia Thành
Phó trưởng khoa Ngoại I, TEL: 0915.363.264
Ngày nay, nhiều loại ung thư đã trở nên phổ biến ở con người và không may là nguyên nhân gây tử vong cho nhiều người trong sốđó. Việt Nam có tỷ lệ ung thư cao thứ 92 trên thế giới trong số 185 quốc gia, gánh nặng ung thư đã tăng gấp ba trong 30 năm qua. Trong đó ung thư đại tràng là một trong 5 loại ung thư phổ biến nhất tại Việt Nam hiện naychiếm 9% các loại ung thư.Nếu được phát hiện ở giai đoạn sớm thì tỷ lệ được chữa khỏi lên tới 90%.Người bệnh có thể sống tới 20 năm sau khi phát hiện bệnh ung thư đại tràng. Như vậy việc phát hiện và chẩn đoán sớm bệnh ung thư đại tràng có thể tác động đáng kể đến sự sống còn của bệnh nhân và giảm chi phí điều trị.Mặc dù điều trị ung thư đại tràng hiện nay đãcó nhiều tiến bộ tuy nhiên việc thực hiện chế độ ăn uống, vận động và thay đổi lối sống, để phòng ngừa ung thư đại tràng vẫn sẽ là ưu tiên hàng đầu.
I. Các triệu chứng cơ năng của ung thư đại trực tràng
Ung thư đại trực tràng giai đoạn đầu các triệu chứng diễn biến âm thầm, kín đáo nên rất khó phát hiện. Do vậy, khi có một trong các dấu hiệu sau, người bệnh nên tới các cơ sở y tế để được thăm khám:
– Triệu chứng tại đường tiêu hóa: Triệu chứng sớm nhất có thể chỉ là những thay đổi thói quen đại tiện, thay đổi giờ giấc, số lần đi ngoài từ vài lần đến vài chục lần trong ngày. Cảm giác buồn đi ngoài thường xuyên, đi ngoài không hết phân.Hoặc sự rối loạn đại tiện như tiêu chảy, táo bón kéo dài hoặc đi phân mỏng và dẹt như lá lúa.Đại tiện ra máu lẫn với phân, đại tiện phân màu đen.Đau bụng thường xuyên.
– Triệu chứng toàn thân: Mệt mỏi, thiếu máu, gầy sút cân không rõ nguyên nhân
II. Sàng lọc phát hiện sớm ung thư đại tràng
Tầm soát là quá trình tìm phát hiện ung thư đại tràng ở bệnh nhân không có triệu chứng.Một polyp đại trực tràng cần thời gian 10-15 năm để có thể phát triển thành ung thư. Do đó khám sàng lọc có ý nghĩa quan trọng giúp chẩn đoán sớm và điều trị ung thư đại trực tràng.
1. Xét nghiệm phân
– Do các polyp lớn và đặc biệt các khối u đại trực tràng phát triển to lên,chúng dễ bị tổn thương khi cọ xát với phân, gây chảy máu vi thể (hiếm khi nhìn thấy bằng mắt thường) và máu này sẽ dính theo phân đi ra ngoài. Xét nghiệm tìm máu trong phân là xét nghiệmít xâm lấn nhất, đơn giản, dễ làm với chi phí thấp được khuyến cáo trong sàng lọc ban đầu ung thư đại tràng. Xét nghiệm có thể tiến hành tại nhà, người bệnh chỉ cần đại tiện ra bô sau đó lấy mẫu phân vào ống xét nghiệm và gửi đến phòng xét nghiệm. Tuy nhiên, máu trong phân có thể do nhiều nguyên nhân khác nhau như polyp, ung thư, viêm loét đại trực tràng, trĩ… Do đó nếu xét nghiệm dương tính, thì bước tiếp theo bắt buộc phải nội soi đại trực tràng để chẩn đoán xác định. Có 2 loại xét nghiệm để tìm máu trong phân bao gồm:
- Xét nghiệm tìm máu tiềm ẩn trong phân (Fecal occult blood test):Phát hiện sắt, hemoglobin protein là thành phần trong hồng cầu của người khi bị vỡ. Xét nghiệm này có thể bị tăng tỷ lệ dương tính giả nếu bạn ăn nhiều thịt đỏ.
- Xét nghiệm hóa miễn dịch phân (Fecal immunochemical test): Phát hiện chính xác tế bào máu của người trong phân. Xét nghiệm này thường được khuyến cáo thực hiện nhằm giảm thiểu sai số dương tính giả. Xét nghiệm này có thể làm hàng năm, để xác định bạn có nguy cơ với ung thư đại tràng hay không. Nếu âm tính có nghĩa là bạn nguy cơ thấp bị ung thư đại tràng. Tuy nhiên xét nghiệm này hiện nay còn chưa phổ biến tại Việt Nam.
– Xét nghiệm DNA trong phân (stool DNA test): Phát hiện các bất thường AND do đột biến gen của các tế bào ung thư đại trực tràng. Xét nghiệm này cũng chưa được phổ biến tại Việt Nam
2.Xét nghiệm dựa vào hình ảnh
– Nội soi đại tràng sigma ống mềm (Sigmoidoscopy): Là kỹ thuật xâm nhập có thể đánh giá trực tiếp tổn thương và can thiệp sinh thiết khối u hoặc cắt bỏ các polyp.

Hình 1: Hình ảnh Polyp được phát hiện và cắt bỏ
– Nội soi đại tràng: Nội soi tiêu chuẩn quang học (Colonoscopy optical- standard) bằng ống mềm để đánh giá toàn bộ đại tràng và trực tràng, có thể sinh thiết khối u hoặc cắt bỏ các polyp nếu phát hiện.Nội soi là xét nghiệm sàng lọc được khuyến cáo nên làm 10 năm 1 lần.

Hình 2: Nội soi đại tràng tiêu chuẩn quang học
– Nội soi thực tế ảo bằng cắt lớp vi tính (Colonoscopy virtual- Radiological): Là kỹ thuật không xâm nhập, dùng trong những trường hợp bệnh nhân không muốn hoặc không thể nội soi đại trực tràng ống mềm. Tuy nhiên không thể sinh thiết khối u hoặc cắt polyp.

Hình 3: Nội soi thực tế ảo qua cắt lớp vi tính
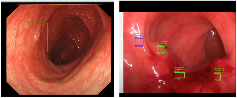
– Nội soi đại tràng được khuyến khích thực hiện như một xét nghiệm sàng lọc cả ung thư giai đoạn đầu và polyp tuyến. Tuy nhiên, nó có một số hạn chế bao gồm tỷ lệ bỏ sót polyp cao đối với các polyp nhỏ hơn (<10 mm) hoặc phẳng, dễ bị bỏ sót khi kiểm tra bằng mắt. Do sự tiến bộ nhanh chóng của công nghệ, trí tuệ nhân tạo (AI) đã và đang là một lĩnh vực phát triển mạnh trong các lĩnh vực khác nhau, bao gồm cả y học. Đặc biệt, trong khoa tiêu hóa, phần mềm AI đã được đưa vào hệ thống máy tính hỗ trợ cho bác sĩ để chẩn đoán và cải thiện việc phát hiện polyp vàcho ung thư đại tràng đại tràngsớmhơn.

Hình 4: Ứng dụng phần mềm AI phát hiện sớm ung thư đại tràng
– Chụp khung đại tràng cản quang: Đây là kỹ thuật không xâm nhập, nếu chụp mà phát hiện hoặc nghi ngờ ung thư đại trực tràng thì vẫn phải tiến hành soi đại tràng để chẩn đoán xác định.
3. Xét nghiệm máu
– Xét nghiệm gen ung thư (Methylated SEPT-9): Phương pháp thử nghiệm máu sẽ nhận biết 16 loại đột biến gen và 8 loại protein liên quan tới 8 loại ung thư trong đó có ung thư đại tràng.Kết quả xét nghiệm gen giúp tầm soát sớm và đánh giá nguy cơ mắc các bệnh ung thư di truyền phổ biến ở nam, nữ.
4 Độ tuổi sàng lọc ung thư đại tràng
Nhiều hội đồng chuyên gia khác khuyến nghị từ 50 – 75 tuổi nên sàng lọc những bệnh nhân có nguy cơ trung bình. Đối với những người có thuộc tính nguy cơ cao (tiền sử gia đình dương tính hoặc mắc các hội chứng ung thư), có thể bắt đầu sàng lọc ngay từ những năm thiếu niên. Nên tiến hành sàng lọc những người có tiền sử gia đình dương tính nên bắt đầu 10 năm trước tuổi chẩn đoán của thành viên trong gia đình.
III. Phòng ngừa ung thư đại tràng
- 1. Các yếu tố nguy cơ của ung thư đại tràng
– Do di truyền: Nếu gia đình có người bị ung thư đại tràng thì nguy cơ bạn bị mắc bệnh này sẽ tăng cao hơn, bởi vì ung thư có tính di truyền với tỉ lệ 3-5%. Hội chứng di truyền phổ biến nhất có liên quan đến ung thư đại trực tràng là hội chứng đa polyp mang tính chất gia đình (FAP), hội chứng ung thư đại trực tràng di truyền không polyp (HNPCC).
– Tiền sử bệnh tật: Polyp đại trực tràng dạng tuyến, viêm ruột như bệnh Crohn hoặc viêm loét đại tràng, đái tháo đường và kháng insulin, nhiễm HIV ở nam giới …
– Chế độ ăn uống và vận động: Uống nhiều bia rượu, hút thuốc, không hoạt động thể chất, béo phì, chế độ ăn uống ít chất xơ, tiêu thụ nhiều thịt đỏ như thịt trâu, bò, cừu…, và thịt đã qua chế biến
2. Thực hiện phòng ngừa ung thư đại tràng
– Thực hiện chế độ ăn uống lành mạnh:Các chuyên gia y tế thường khuyến nghị một chế độ ăn ít chất béo động vật, đồ chiên rán, thịt đỏ. Thay vào đó ăn đủ cá, thịt gà, ăn nhiều trái cây, các loại rau lá sậm như bông cải xanh,ngũ cốc nguyên hạt , một số loại gia vị như nghệ, tỏi, trà xanh … làm giảm nguy cơ ung thư đại trực tràng.

– Kiểm soát cân nặng: Thừa cân, béo phì làm tăng nguy cơ ung thư đại trực tràng ở cả nam và nữ, nhưng nam giới có nguy cơ cao hơn. Ăn uống lành mạnh hơn và tăng cường hoạt động thể chất có thể giúp bạn kiểm soát cân nặng.Giữ mức cân nặng khỏe mạnh và tránh tăng cân vùng giữa cơ thể có thể giúp giảm nguy cơ bệnh.
– Tăng cường hoạt động thể chất:Tập thể dục thường xuyên có thể giúp giảm nguy cơ mắc bệnh ung thư đại trạng.
– Không hút thuốc lá:Những người đã hút thuốc trong một thời gian dài có nhiều khả năng phát triển và chết vì ung thư ruột kết hoặc trực tràng hơn những người không hút thuốc.
– Tránh xa bia, rượu: Tốt nhất là không uống rượu. Nhưng nếu uống thì nên uống bia rượu ở mức độ hợp lý, các chuyên gia khuyến nghị uống không quá khoảng 355 ml bia, 148 ml rượu vang hoặc 45ml rượu mạnh.
Michelle Viscaino &et all (2021) “Artificial intelligence for the early detection of colorectal cancer: A comprehensive review of its advantages and misconceptions”. Truy cập tại https://www.ncbi.nlm.nih.gov/pmc/articles/PMC8517786/.
Rahul Kumar&et all (2022) “Colon Cancer Screening”. Truy cập tại https://www.ncbi.nlm.nih.gov/books/NBK559064/
WHO (2020) https://gco.iarc.fr/today/data/factsheets/populations/704-viet-nam-fact-sheets.pdf
Phạm Tùng và cộng sự (2019)“Cancers in Vietnam—Burden and Control Efforts: A Narrative Scoping Review”. Truy cập tại https://www.ncbi.nlm.nih.gov/pmc/articles/PMC6643189/
Bệnh Viện K (2022) “Làm thế nào để phòng ngừa ung thư đại tràng”. Truy cập tại https://benhvienk.vn/lam-gi-de-phong-ngua-ung-thu-dai-truc-trang-nd85429.html
American cancer society (2021) “Six Ways to Lower Your Risk for Colorectal Cancer” truy cập tại https://www.cancer.org/latest-news/six-ways-to-lower-your-risk-for-colon-cancer.html
