Bằng việc kết nối hệ thống cấp cứu liên viện và báo động đỏ nội viện, rất nhiều bệnh nhân ngừng tim đã được cấp cứu thành công chỉ sau 20-30 phút vào viện nhờ quy trình xử lý thần tốc và ứng dụng các kỹ thuật hiện đại tại Bệnh viện Đa khoa tỉnh Thanh Hoá.
Bệnh nhân Trịnh Văn S. được cứu sống một cách ngoạn mục nhờ việc phối hợp cấp cứu liên viện và báo động đỏ nội viện
Ca bệnh gần đây nhất được cứu sống ngoạn mục nhờ việc phối hợp cấp cứu liên viện và báo động đỏ nội viện là bệnh nhân Trịnh Văn S. (65 tuổi, Định Long, Yên Định). Bệnh nhân nhập viện tại Bệnh viện Đa khoa huyện Yên Định trong tình trạng rất nguy kịch, khó thở nhiều, đau tức ngực dữ dội. Qua khai thác bệnh sử, tiền căn và thăm khám lâm sàng kết hợp với kết quả điện tâm đồ đo được tại thời điểm cấp cứu, các bác sĩ đã chẩn đoán bệnh nhân bị nhồi máu cơ tim cấp.
Trong lúc các Bác sĩ và điều dưỡng trực đang thực hiện các bước cấp cứu ban đầu và hội chẩn với các bác sĩ Bệnh viện Đa khoa tỉnh Thanh Hoá để chuyển bệnh nhân thì bệnh nhân đột ngột ngưng tim, ngừng thở và rơi vào hôn mê sâu. Sinh hiệu lúc đó là mạch không bắt được, huyết áp không đo được. Các Bác sĩ nhanh chóng tiến hành cấp cứu ngừng tuần hoàn. Bằng sự nỗ lực của các y bác sĩ, bệnh nhân đã có nhịp tim đập trở lại tuy nhiên vẫn còn trong tình trạng hôn mê sâu, sử dụng liều thuốc vận mạch tương đối cao, thở máy. Tiên lượng bệnh nhân có thể tiếp tục ngừng tim bất cứ lúc nào, các bác sĩ tiếp tục hồi sức, duy trì thuốc vận mạch và hội chẩn chuyển bệnh nhân đến Trung tâm Cấp cứu, Bệnh viện Đa khoa tỉnh Thanh Hoá.
Nhận định đây là ca bệnh cần cấp cứu khẩn cấp do bệnh nhân có thể mắc bệnh lý về tim mạch cần được can thiệp sớm, các bác sĩ Trung tâm Cấp cứu, Bệnh viện Đa khoa tỉnh Thanh Hóa đã kích hoạt hệ thống báo động đỏ cấp cứu nội viện, nhanh chóng liên hệ với ê kip can thiệp tim mạch của khoa Nội Tim mạch chuẩn bị trang thiết bị sẵn sàng cấp cứu bệnh nhân ngay khi tuyến dưới chuyển đến.
Do có sự chuẩn bị và phối hợp từ trước, bệnh nhân nhanh chóng được chuyển thẳng về Đơn vị Can thiệp mạch để chụp động mạch vành, kết quả là tổn thương tắc hoàn toàn động mạch liên thất trước, huyết khối lấp đầy động mạch. Sau 20 phút căng thẳng, ê kíp các bác sĩ đã hồi sức cấp cứu và can thiệp thành công, lấy huyết khối, đặt stent tái thông động mạch cứu sống bệnh nhân.
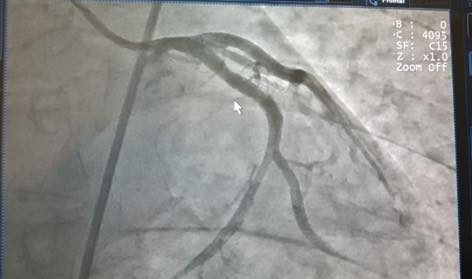
Hình ảnh chụp động mạch vành của bệnh nhân trước can thiệp
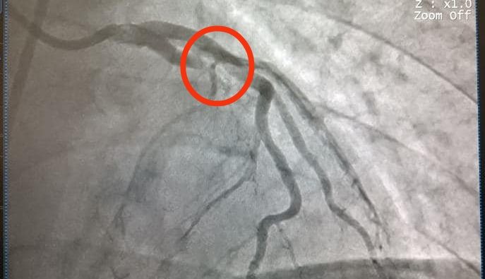
Hình ảnh chụp động mạch vành của bệnh nhân sau can thiệp
Ngay sau can thiệp tình trạng bệnh nhân vẫn còn rất nguy kịch, huyết động vẫn phụ thuộc vào thuốc vận mạch liều cao, hô hấp vẫn phải hỗ trợ thở qua nội khí quản. Bệnh nhân được chuyển về khoa Cấp cứu – Hồi sức tích cực 2 để hồi sức tích cực và chăm sóc đặc biệt vì nguy cơ cao ngừng tim, biến chứng cơ học của nhồi máu cơ tim và các rối loạn chuyển hoá sau cấp cứu ngừng tuần hoàn.
4 ngày sau can thiệp và điều trị tích cực theo phác đồ tại khoa Cấp cứu – Hồi sức tích cực 2, bệnh nhân được rút ống nội khí quản, ngưng thở máy, huyết động ổn định, hết đau ngực, khó thở, tình trạng sức khỏe tiến triển tốt và đã được xuất viện.
Ths.Bs. Lâm Tiến Tùng – Trưởng khoa Cấp cứu – Hồi sức tích cực 2, Bệnh viện Đa khoa tỉnh Thanh Hóa cho biết: “Trường hợp bệnh nhân S. là ca bệnh cấp cứu tối khẩn cấp với biểu hiện rất nặng của bệnh nhồi máu cơ tim. Nếu không có sự nỗ lực cấp cứu ban đầu của các bác sĩ Bệnh viện Đa khoa huyện Yên Định thì khả năng bệnh nhân tử vong rất cao. Bên cạnh đó, nhờ sự hội chẩn và phối hợp liên viện, nội viện nhịp nhàng của nhiều chuyên gia thuộc nhiều chuyên ngành như cấp cứu, hồi sức tích cực, can thiệp tim mạch, các bác sĩ đã tranh thủ được giờ vàng trong cấp cứu và điều trị cho bệnh nhân, góp phần nâng cao hiệu quả điều trị, giảm bớt di chứng và cải thiện chất lượng cuộc sống cho bệnh nhân sau ra viện. Trong năm 2023, Bệnh viện Đa khoa tỉnh Thanh Hoá đã cứu sống được nhiều bệnh nhân nặng như trường hợp này”.
Qua trường hợp trên, Bác sĩ Tùng khuyến cáo: Những bệnh nhân có biểu hiện đau ngực, khó thở cần phải đến cơ sở y tế gần nhất để các bác sĩ thăm khám và cấp cứu kịp thời. Trường hợp cần hội chẩn và phối hợp trong cấp cứu các ca bệnh nặng, nguy kịch, các cơ sở y tế hoặc người dân có thể liên hệ số điện thoại 02373.954.574 của Trung tâm Cấp cứu, Bệnh viện Đa khoa tỉnh Thanh Hoá hoặc số điện thoại 0978.680.219 của Ths.Bs Lâm Tiến Tùng – Trưởng khoa Cấp cứu – HSTC 2.
Bài và ảnh: Phòng CTXH
