Tắc động mạch phổi là một cấp cứu nội khoa nặng với tỷ lệ tử vong khoảng 30% nếu không được chẩn đoán và điều trị kịp thời. Bệnh thường khởi phát đột ngột, khó khăn trong chẩn đoán do triệu chứng lâm sàng không đặc hiệu.
Bằng việc ứng dụng và triển khai các kỹ thuật chuyên sâu trong lĩnh vực tim mạch can thiệp, mới đây, các bác sỹ khoa Nội Tim mạch, Bệnh viện Đa khoa tỉnh Thanh Hóa đã liên tiếp cứu sống hai trường hợp bệnh nhân tắc động mạch phổi cấp nguy kịch bằng thuốc tiêu sợi huyết, giúp bệnh nhân phục hồi chỉ trong thời gian ngắn.
Trường hợp thứ nhất là bệnh nhân Bùi Thị T. (sinh năm 1960, Định Bình, Yên Định) có tiền sử rối loạn tâm thần. Bệnh nhân nhập viện với các biểu hiện: Đau đầu nhiều, đau âm ỉ liên tục, mệt mỏi, choáng váng, buồn nôn, kèm theo đau tức ngực, sốt không rõ nguyên nhân. Kết quả chụp cắt lớp vi tính sọ não bình thường.

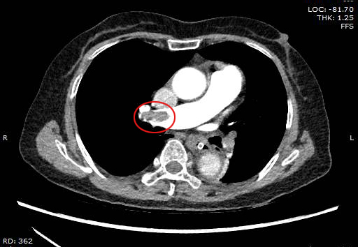
Hình ảnh chụp cắt lớp vi tính động mạch phổi bệnh nhân T. bị tắc do cục máu đông
Qua thăm khám lâm sàng và điện tâm đồ, nghi ngờ bệnh nhân bị tắc động mạch phổi cấp, các bác sỹ đã ngay lập tức chỉ định thực hiện siêu âm tim thấy tình trạng giãn thất phải, có tăng áp lực động mạch phổi. Để chẩn đoán xác định, các bác sỹ tiếp tục chỉ định chụp cắt lớp vi tính động mạch phổi, kết quả trên phim chụp cắt lớp vi tính cho thấy bệnh nhân bị tắc động mạch phổi cả 2 bên, lâm sàng bệnh nhân diễn biến xấu hơn, đau ngực nhiều, khó thở, huyết áp tụt 80/60mmHg.
Nhận định tình trạng bệnh nhân rất nguy kịch, nguy cơ tử vong cao, các bác sỹ quyết định sử dụng thuốc tiêu sợi huyết đường tĩnh mạch làm tan cục máu đông trong động mạch phổi cho bệnh nhân với liều 0,6 mg/kg cân nặng trong 15 phút, sau đó truyền Heparin theo phác đồ, kết hợp điều trị hồi sức tích cực thở oxy qua mặt nạ, truyền thuốc vận mạch.

BSCKII. Trịnh Đình Hoàng – Phó Trưởng khoa Nội Tim mạch tư vấn hướng dẫn bệnh nhân Bùi Thị T. các biện pháp chăm sóc sức khỏe trước khi xuất viện
Sau 15 phút phút sử dụng thuốc tiêu sợi huyết, động mạch phổi bị tắc nghẽn nhanh chóng được tái thông, tình trạng lâm sàng của bệnh nhân được cải thiện rất nhanh, huyết áp tăng dần, bệnh nhân tỉnh táo, tiếp xúc tốt, đỡ khó thở, môi chi hồng ấm, giảm đau tức ngực, SpO2 100% và ngừng duy trì các biện pháp hỗ trợ khác sau 2 giờ. Sau 24 giờ, huyết áp bệnh nhân ổn định, không cần sử dụng thuốc vận mạch. Đến nay, sức khỏe bệnh nhân hồi phục rất tốt, hết đau tức ngực và đã được ra viện.
Trường hợp thứ 2 là bệnh nhân Lê Văn H. (sinh năm 1974, Quảng Ngọc, Quảng Xương) có tiền sử tăng huyết áp, tai biến mạch não đã mổ giải ép cách đây 2 năm, di chứng liệt nửa người phải, không nói được, viêm teo thận. Bệnh nhân nhập viện với biểu hiện: Mệt mỏi, khó thở, tức ngực, tím môi, huyết áp 100/60 mmHg, SpO2 85%.


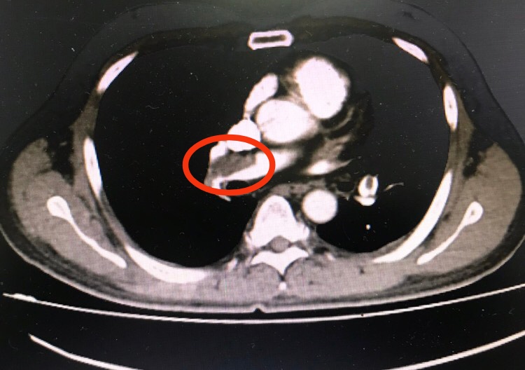
Hình ảnh cục máu đông của bệnh nhân Lê Văn H.trên phim chụp cắt lớp vi tính
Sau thăm khám và làm các xét nghiệm cận lâm sàng, bệnh nhân được chẩn đoán: Huyết khối động mạch phổi, có huyết khối trong nhĩ phải. Tình trạng bệnh nhân rất nguy kịch do khối lượng huyết khối nhiều.
Ths.Bs Lê Thế Anh – Trưởng khoa Nội Tim mạch, Bệnh viện Đa khoa tỉnh Thanh Hoá cho biết: “Bệnh nhân H. vào viện trong tình trạng nguy kịch, toàn bộ động mạch phổi phải gần như bị bít tắc, nếu không khai thông sớm, bệnh nhân sẽ tử vong do thiếu sự cung cấp máu lên phổi để tiến hành trao đổi oxy. Tuy nhiên, bệnh nhân có tiền sử mổ sọ não, vì vậy việc sử dụng thuốc tiêu sợi huyết cần hết sức thận trọng vì có thể gây xuất huyết não, nếu bệnh nhân bị tắc mạch phổi mà có thêm xuất huyết não thì nguy cơ tử vong gần như chắc chắn.
Sau khi cân nhắc kỹ lưỡng các lợi ích và nguy cơ, các bác sỹ vẫn tiến hành sử dụng thuốc tiêu sợi huyết đường tĩnh mạch với liều 0,6 mg/kh/15 phút, sau đó truyền Heparin liều thấp hơn phác đồ để đạt được liều chông đông hiệu quả mà không gây chảy máu, bệnh nhân được các bác sĩ theo dõi chặt chẽ lâm sàng 5phút/lần khi truyền thuốc tiêu sợi huyết, làm xét nghiệm chống đông 4h/lần để chỉnh liều Heparin.
Rất may mắn sau khi sử dụng thuốc tiêu sợi huyết, tình trạng bệnh nhân được cải thiện rõ rệt qua từng phút: không còn khó thở, không còn đau ngực, không có dấu hiệu xuất huyết nội sọ, hay xuất huyết trên da, xuất huyết dạ dày. Sau 24h điều trị, bệnh nhân đã không phải thở oxy, nhịp tim trở về bình thường khoảng 80 lần/phút, SpO2 khí trời đạt 96 – 97%, lâm sàng ổn định. Cả ê kip các bác sỹ điều trị cho bệnh nhân lúc đấy mới thở phào nhẹ nhõm”. Ths.Bs Lê Thế Anh chia sẻ thêm.
Sau 5 ngày điều trị, bệnh nhân H. được chụp cắt lớp vi tính động mạch phổi, kết quả cho thấy cục máu đông gần như đã được giải quyết, lòng mạch cơ bản được lưu thông như bình thường. Bệnh nhân hồi phục tốt và đã được ra viện.
Ths.Bs. Lê Thế Anh – Trưởng khoa Nội Tim mạch thăm khám cho bệnh nhân Lê Văn H. trước khi ra viện
Tắc động mạch phổi là bệnh lý cấp tính được xem như là “kẻ giết người thầm lặng”, khởi phát đột ngột, diễn biến phức tạp khó đoán, nguy cơ tử vong cao, đặc biệt thường lẫn trong bệnh cảnh của nhiều bệnh lý khác đi kèm nên đòi hỏi bác sỹ lâm sàng phải có kinh nghiệm, phải nghĩ đến thì mới có thể đưa ra các chỉ định cận lâm sàng phù hợp để chẩn đoán bệnh một cách nhanh chóng và chính xác.
Tắc động mạch phổi do nhiều nguyên nhân, nhưng thường gặp do huyết khối từ hệ tĩnh mạch sâu chi dưới di chuyển đến phổi. Phương pháp tiêu sợi huyết là một kỹ thuật điều trị triệt để và tối ưu không chỉ với bệnh nhân đột quỵ nhồi máu não cấp mà còn cả bệnh nhân tắc động mạch phổi, làm tan cục máu đông gây tắc mạch mà không cần phẫu thuật hay can thiệp, người bệnh sau điều trị hồi phục nhanh, giảm nguy tử vong. Đây cũng là phương pháp được ứng dụng phổ biến và thành công trong điều trị tắc động mạch phổi cấp trên thế giới và một số Bệnh viện tuyến Trung ương tại Việt Nam.
“Tuy nhiên để có thể thực hiện phương pháp này người bệnh cần được chẩn đoán sớm bằng trang thiết bị máy móc hiện đại với đội ngũ bác sĩ có kinh nghiệm lâm sàng tốt và sử dụng thuốc theo phác đồ nhưng phải cá thể hoá người bệnh”. Ths. Bs. Lê Thế Anh chia sẻ thêm.
Với đội ngũ bác sĩ được đào tạo bài bản, giàu kinh nghiệm, trang thiết bị y tế hiện đại, Bệnh viện Đa khoa tỉnh Thanh Hoá đã triển khai thường quy kỹ thuật tiêu sợi huyết đường tĩnh mạch, giúp cứu sống thành công rất nhiều trường hợp bệnh nhân đột quỵ nhồi máu não cấp, tắc mạch phổi nguy kịch… Qua đó khẳng định năng lực chẩn đoán và điều trị nhạy bén, chính xác cùng sự phối hợp chặt chẽ giữa các chuyên khoa sâu của đội ngũ bác sỹ Bệnh viện đã góp phần nâng cao hơn nữa hiệu quả điều trị, mở ra hy vọng và cơ hội phục hồi cho những bênh nhân trên địa bàn không may tắc mạch cấp tính thể nặng, nguy kịch vẫn có thể phục hồi hoàn toàn mà không phải chuyển lên tuyến trên.
Bài và ảnh: Phòng CTXH
