Bệnh viện Đa khoa tỉnh Thanh Hóa vừa phẫu thuật bắc cầu động mạch và đặt stent graft cho một nam bệnh nhân 86 tuổi bị phình động mạch chủ ngực phức tạp. Đây là một trong số nhiều ca bệnh mắc bệnh lý tim mạch phức tạp đã được cấp cứu thành công nhờ sự phối kết hợp nhịp nhàng giữa chuyên khoa Nội Tim mạch và Ngoại Tim mạch, lồng ngực tại Bệnh viện Đa khoa tỉnh Thanh Hóa.
Các bác sĩ đang thực hiện 1 ca can thiệp động mạch vành cho bệnh nhân
Bệnh nhân là bác Tô Vĩnh D. (86 tuổi, Thiệu Vận, Thiệu Hóa) có tiền sử tăng huyết áp, nhưng điều trị không thường xuyên, nhập viện tại khoa Nội Tim mạch, Bệnh viện Đa khoa tỉnh Thanh Hóa với triệu chứng: đau ngực trái dữ dội lan ra sau lưng, khó thở, kèm khàn tiếng.
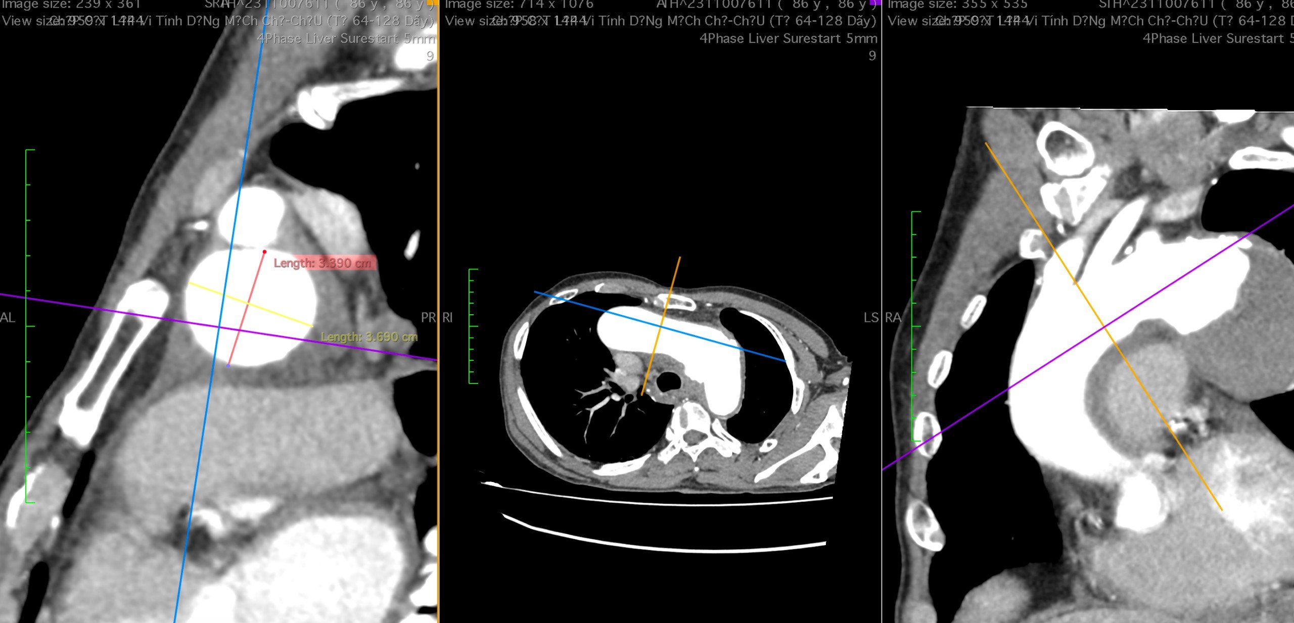
Sau khi thăm khám, làm các xét nghiệm cận lâm sàng và chụp MSCT, bệnh nhân được chẩn đoán phình lớn động mạch chủ ngực ngay dưới động mạch dưới đòn trái, kích thước 57 x 59mm, khối phình gây triệu chứng đau ngực và khàn tiếng do liệt dây thần kinh quặt ngược trái.

Hình ảnh khối phình lớn trên phim chụp CLVT
Tiến sĩ, bác sĩ Lê Thế Anh – Trưởng khoa Nội Tim mạch, bác sĩ trực tiếp can thiệp và điều trị cho bệnh nhân D. cho biết: “Trường hợp bệnh nhân D. là ca bệnh rất phức tạp, ngoài kích thước khối phình lớn có nguy cơ vỡ bất cứ lúc nào ảnh hưởng đến tính mạng người bệnh thì vị trí và đặc điểm của túi phình cũng đặc biệt, cổ túi phình rất ngắn (1cm) vì vậy không phù hợp với chỉ định đặt stent bằng phương pháp can thiệp thông thường do có thể sẽ làm bít tắc đến các mạch máu chính nuôi não và cánh tay. Bên cạnh đó, bệnh nhân tuổi cao, thể trạng yếu nên phương pháp phẫu thuật cũng không được chỉ định.”
Để có phương án điều trị tối ưu cho bệnh nhân, ngay lập tức, các bác sĩ khoa Nội Tim mạch, khoa Phẫu thuật Thần kinh – Lồng ngực Bệnh viện Đa khoa tỉnh Thanh Hóa và các chuyên gia đầu ngành Bệnh viện tuyến Trung ương đã hội chẩn và quyết định kết hợp phương pháp phẫu thuật và can thiệp nội mạch. Trước tiên, các bác sĩ sẽ làm cầu nối giữa động mạch cảnh, dưới đòn bên trái vào động mạch cảnh bên phải, tạo ra vị trí an toàn, sau đó sẽ đặt stent graft động mạch chủ cho bệnh nhân.
Theo kế hoạch, ê kíp các bác sĩ khoa Phẫu thuật Thần kinh – Lồng ngực và Gây mê hồi sức đã tiến hành phẫu thuật bắc cầu nối động mạch cảnh, chuyển vị từ động mạch cảnh chung phải sang động mạch cảnh chung trái (bên lành) và động mạch dưới đòn trái, để đảm bảo máu được lưu thông và tiếp tục cung cấp cho não, cánh tay… Sau phẫu thuật, bệnh nhân được hồi sức, tỉnh táo và bước tiếp vào phòng can thiệp đặt stent graft để kịp thời xử lý khối phình.
Hình ảnh đặt stent graft cho bệnh nhân D.
Sau can thiệp bệnh nhân ổn định, hết đau ngực, biểu hiện khàn tiếng giảm đáng kể. Bệnh nhân được xuất viện sau 5 ngày theo dõi và điều trị theo phác đồ.
Tiến sĩ, Bác sĩ. Lê Thế Anh – Trưởng khoa Tim mạch thăm khám cho bệnh nhân trước khi ra viện
Tiến sĩ, Bác sĩ. Lê Thế Anh thông tin thêm: “Đây là một trường hợp phẫu thuật mạch máu rất phức tạp, đặc biệt là khi phải chuyển vị hoàn toàn 2 nhánh mạch máu nuôi não. Trong suốt quá trình phẫu thuật chuyển vị phải duy trì huyết động tối ưu, đảm bảo độ mê và theo dõi tưới máu não liên tục bằng máy theo dõi độ bão hòa oxy não để đảm bảo cung cấp máu đầy đủ cho não bệnh nhân. Bên cạnh đó, vị trí túi phình là vị trí khó để đặt stent graft do liên quan đến giải phẫu vùng cổ, có thể gây tổn thương thần kinh đặc biệt vùng tuỷ ngực. Tuy nhiên, nhờ việc phối hợp nhịp nhàng liên chuyên khoa trong điều trị, bệnh nhân đã được điều trị thành công. Đây không chỉ là niềm vui cho bệnh nhân và gia đình mà còn là niềm vui của đội ngũ y bác sĩ Bệnh viện Đa khoa tỉnh Thanh Hóa chúng tôi.”
Cũng theo Tiến sĩ, bác sĩ Lê Thế Anh: Phình động mạch chủ không còn là bệnh lý hiếm gặp, số bệnh nhân mắc phình động mạch chủ nhập viện ngày càng tăng. Thông thường, phình động mạch chủ ít có triệu chứng hoặc chỉ được phát hiện tình cờ khi khám sức khỏe định kỳ hay khi chụp X-quang ngực thường quy. Ngoài ra, một số bệnh nhân có triệu chứng không điển hình như:
Đau đột ngột vùng trước ngực hoặc sau lưng: Cảm giác đau thường mơ hồ, có thể thấy đau ở vùng cổ và hàm dưới, hoặc đau giữa hai xương bả vai, đau vai trái, hay đau lưng. Khi bị phình tách động mạch chủ ngực thì cơn đau xuất hiện đột ngột như xé vùng trước ngực hoặc sau lưng;
Khó thở, khó nuốt do bị chèn ép: Khi phình động mạch chủ ngực với mức độ lớn có thể gây chèn ép các cấu trúc xung quanh hoặc các tạng lân cận, dẫn đến khàn tiếng (do chèn ép thần kinh thanh quản), khó thở, khó nuốt (do chèn ép khí quản, thực quản), phù (do chèn ép tĩnh mạch).
Để phát hiện kịp thời và điều trị sớm cũng như hạn chế nguy cơ của phình động mạch chủ ngực, người bệnh cần khám sức khỏe định kỳ, đặc biệt đối với người trên 50 tuổi, kiểm soát huyết áp ổn định, không hút thuốc lá, thường xuyên tập thể dục.
Với hệ thống máy móc, trang thiết bị can thiệp và mổ tim đồng bộ, hiện đại cùng nguồn nhân lực chất lượng cao, Bệnh viện Đa khoa tỉnh Thanh Hóa đã triển khai được nhiều dịch vụ kỹ thuật cao thuộc đầy đủ cả 4 chuyên ngành: Nội khoa, Ngoại khoa, Can thiệp tim mạch, thăm dò điện sinh lý tim trong điều trị tim mạch mở ra hy vọng điều trị cho các bệnh nhân mắc bệnh tim mạch phức tạp trên địa bàn tỉnh và các tỉnh vùng lân cận.
Bài và ảnh: Phòng CTXH
