Xương cá là một dị vật thường gặp ở đường tiêu hoá trên. Xương cá ban đầu có thể chỉ gây vướng mắc ở hầu họng, nhưng sau đó có thể di chuyển xuống thực quản, dạ dày, ruột non hoặc đại tràng, nếu không được xử trí kịp thời có thể gây các biến chứng nặng nề như: nhiễm trùng áp xe vùng cổ, trung thất, dạ dày, đại tràng; rò thực quản; tụ máu hầu họng, tràn mủ màng phổi, màng tim; viêm phổi thậm chí tử vong.
Là Bệnh viện tuyến cuối của tỉnh, hàng năm, Bệnh viện Đa khoa tỉnh Thanh Hoá tiếp nhận và xử trí thành công cho rất nhiều trường hợp hóc dị vật là xương cá, gà, vịt…trong đó có nhiều ca bệnh khó hoặc biến chứng nặng. Gần đây nhất là 2 trường hợp bệnh nhân bị hóc dị vật xương cá.
Trường hợp thứ nhất là bệnh nhân P.T.H (68 tuổi, quê ở Triệu Thành, Triệu Sơn, Thanh Hóa). Bệnh nhân trước khi nhập viện 5 ngày bị đau bụng nhiều vùng mạn sườn bên trái, ăn vào càng đau, bụng chướng to, mệt mỏi và sút cân. Bệnh nhân đi điều trị tại cơ sở y tế tuyến huyện nhưng không đỡ, sau đó được gia đình chuyển lên Bệnh viện Đa khoa tỉnh Thanh Hóa điều trị tại khoa Ngoại tổng hợp 2.
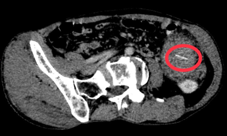
Qua thăm khám, siêu âm và chụp cắt lớp vi tính ổ bụng có tiêm thuốc cản quang cho thấy có khối tỉ trọng hỗn hợp nằm cạnh trước đại tràng trái gồm dịch, mô mềm và phần tăng tỉ trọng kích thước 24 x 0,5mm (nghi ngờ dị vật, xung quanh có thâm nhiễm mỡ). Bệnh nhân được chỉ định phẫu thuật mở ổ bụng gắp dị vật.
Hình ảnh dị vật xương cá trên phim chụp cắt lớp vi tính
BSCKII. Mai Thế Long – Phó trưởng khoa Ngoại tổng hợp 2 cho biết: Khi phẫu thuật các bác sĩ đã thấy được xương cá dài khoảng 3cm, 1 đầu xương cá còn nằm trong lòng đại tràng và 1 đầu đâm thủng đại tràng ra ngoài, được mạc nối lớn bọc lại tạo thành ổ áp xe lớn có nhiều mủ kích thước 15x15cm trong ổ bụng.
Các bác sĩ đã tiến hành gắp dị vật xương cá ra ngoài, cắt bỏ phần đại tràng trái có tổn thương và đưa đại tràng quai trái làm hậu môn nhân tạo. Sau hơn 1 giờ đồng hồ, ca phẫu thuật thành công. Sau 3 ngày phẫu thuật, sức khỏe bệnh nhân ổn định và tiêu hóa dần hồi phục tốt. Sau khi sức khỏe ổn định, bệnh nhân được đóng hậu môn nhân tạo và xuất viện.
Hình ảnh dị vật xương cá được phẫu thuật gắp ra từ đại tràng của bệnh nhân H.
BSCKII. Mai Thế Long – Phó trưởng khoa Ngoại tổng hợp 2 thăm khám cho bệnh nhân sau 3 ngày phẫu thuật
Trường hợp thứ 2 là bệnh nhân được tiếp nhận tại Trung tâm Nội soi Tiêu hoá, khoa Thăm dò chức năng, Bệnh viện Đa khoa tỉnh Thanh Hóa. Theo lời bệnh nhân kể lại, trong lúc ăn cơm bệnh nhân bị hóc xương cá, sau đó người nhà dùng mẹo dân gian như nuốt cơm, uống nhiều nước để xương trôi, nhưng xương cá vẫn hóc khiến bệnh nhân đau ở cổ họng, nuốt gì cũng vướng và khó chịu. Ba ngày sau hóc xương cá, bệnh nhân không đỡ mà ngày càng đau cổ họng nhiều hơn nên đã đến Bệnh viện Đa khoa tỉnh Thanh Hóa thăm khám.
Tại đây, bệnh nhân được các bác sĩ nội soi thực quản phát hiện có dị vật hình dạng xương cá ở 1/3 trên thực quản, vị trí tổn thương đã có hiện tượng phù nề, hóa mủ nhưng rất may xương cá chưa đâm thủng hoàn toàn thực quản. Các bác sĩ đã tiến hành nội soi gắp dị vật xương cá có kích thước dài gần 3cm ra ngoài cho bệnh nhân.
Sau khi nội soi gắp dị vật, bệnh nhân không còn đau, không nuốt vướng, không chảy máu, có thể ăn uống bình thường và được các bác sĩ kê đơn thuốc về theo dõi tại nhà.
Hình ảnh dị vật xương cá được gắp ra khỏi thực quản của bệnh nhân
Qua 2 trường hợp trên, các bác sĩ khuyến cáo: “Hóc xương là tai nạn sinh hoạt khá thường gặp tuy nhiên có thể xử lý đơn giản nếu đến khám sớm để lấy dị vật qua nội soi họng, hoặc nội soi thực quản dạ dày, không nên chữa mẹo theo dân gian hoặc ăn miếng thức ăn to để xương trôi xuống dưới vì xương cá càng di chuyển sâu hơn xuống dưới, càng khó xử lý qua nội soi và càng có nguy cơ biến chứng nặng nếu xương cá chọc thủng đường tiêu hoá.
Thủng đường tiêu hoá là biến chứng hiếm gặp hơn tuy nhiên đây là biến chứng nặng, nguy cơ tử vong cao nếu không được phát hiện kịp thời. Dị vật sau khi nuốt vào có thể mắc kẹt tại bất kì vị trí nào và gây những tổn thương khác nhau cho đường tiêu hóa từ thực quản đến hậu môn. Chính vì vậy người dân cần cẩn trọng khi ăn cá, lựa xương cẩn thận khi ăn, hạn chế sử dụng tăm xỉa răng, nhất là đối với trẻ nhỏ.
Nếu có nghi ngờ hoặc phát hiện nuốt dị vật thì nên đến bệnh viện sớm để có cơ hội cao lấy dị vật bằng nội soi dạ dày. Trường hợp có các biểu hiện bất thường, đau tức ngực, đau bụng, sốt hoặc có các biểu hiện khác cần đến khám ngay tại các cơ sở y tế để kiểm tra phát hiện kịp thời, hạn chế để lâu sẽ dẫn đến những diễn tiến nặng nề như viêm phúc mạc, áp xe ổ bụng, nhiễm trùng…
Bài và ảnh: Phòng CTXH
