Bằng việc ứng dụng và triển khai các kỹ thuật chuyên sâu trong lĩnh vực tim mạch can thiệp, các bác sĩ khoa Nội Tim mạch, Bệnh viện Đa khoa tỉnh Thanh Hóa đã cứu sống nhiều trường hợp bệnh nhân tắc động mạch phổi cấp nguy kịch bằng thuốc tiêu sợi huyết, giúp bệnh nhân phục hồi chỉ trong thời gian ngắn.

Một ca bệnh tắc động mạch phổi nguy kịch đã được các bác sĩ kịp thời phát hiện và cứu sống từ tháng 7 năm 2023
Ca bệnh gần đây nhất được cứu sống là bệnh nhân Đỗ Thị C. (57 tuổi, cư trú xã Hoàng Đạo, huyện Hoằng Hóa, Thanh Hóa) có tiền sử ung thư phổi đã phẫu thuật và điều trị hóa chất từ tháng 3 năm 2023. Bệnh nhân đến nhập viện tại khoa Nội Tim mạch, Bệnh viện Đa khoa tỉnh Thanh Hóa với các triệu chứng đau ngực trái dữ dội theo cơn, đau lan ra sau lưng kèm khó thở tăng dần.
Qua thăm khám lâm sàng và điện tâm đồ, nghi ngờ bệnh nhân bị tắc động mạch phổi cấp, các bác sĩ đã ngay lập tức chỉ định thực hiện siêu âm tim thấy có huyết khối trong buồng tim phải, huyết khối trong động mạch phổi. Để chẩn đoán xác định, các bác sĩ tiếp tục chỉ định chụp cắt lớp vi tính động mạch phổi, kết quả cho thấy bệnh nhân bị tắc động mạch phổi cả 2 bên. Lúc này, diễn biến lâm sàng của bệnh nhân xấu hơn, đau ngực nhiều, khó thở, nhịp tim nhanh 115 lần/phút.


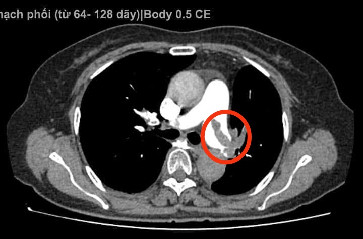
Hình ảnh tắc động mạch phổi trên phim chụp MSCT
Nhận định tình trạng bệnh nhân rất nguy kịch, nguy cơ tử vong cao, các bác sĩ quyết định sử dụng thuốc tiêu sợi huyết đường tĩnh mạch làm tan cục máu đông trong động mạch phổi cho bệnh nhân với liều 0,6 mg/kg cân nặng, sau đó truyền Heparin theo phác đồ, kết hợp điều trị hồi sức tích cực thở oxy qua mặt nạ, truyền thuốc vận mạch.
Sau 15 phút sử dụng thuốc tiêu sợi huyết, động mạch phổi bị tắc nghẽn nhanh chóng được tái thông, tình trạng lâm sàng của bệnh nhân được cải thiện rất nhanh, nhịp tim, huyết áp trở về mức bình thường, bệnh nhân tỉnh táo, tiếp xúc tốt, đỡ khó thở, môi chi hồng ấm, giảm đau tức ngực, SpO2 100% và ngừng duy trì các biện pháp hỗ trợ khác. Sau 24 giờ, huyết áp bệnh nhân ổn định, hết khó thở, không cần sử dụng thuốc vận mạch.
Sau 5 ngày điều trị theo phác đồ, kết quả chụp MSCT động mạch phổi cho thấy huyết khối ở thân động mạch phổi đã hết, huyết khối ở hai nhánh lớn động mạch phổi đã giảm rất nhiều. Bệnh nhân đi lại, sinh hoạt bình thường và đã được ra viện ngày 19/10/2023.
Tắc động mạch phổi là bệnh lý cấp tính được xem như là “kẻ giết người thầm lặng”, khởi phát đột ngột, diễn biến phức tạp khó đoán, nguy cơ tử vong cao, đặc biệt thường lẫn trong bệnh cảnh của nhiều bệnh lý khác đi kèm nên đòi hỏi bác sĩ lâm sàng phải có kinh nghiệm, phải nghĩ đến thì mới có thể đưa ra các chỉ định cận lâm sàng phù hợp để chẩn đoán bệnh một cách nhanh chóng và chính xác.
Tắc động mạch phổi do nhiều nguyên nhân, nhưng thường gặp do huyết khối từ hệ tĩnh mạch sâu chi dưới di chuyển đến phổi. Phương pháp tiêu sợi huyết là một kỹ thuật điều trị triệt để và tối ưu không chỉ với bệnh nhân đột quỵ nhồi máu não cấp mà còn cả bệnh nhân tắc động mạch phổi, làm tan cục máu đông gây tắc mạch mà không cần phẫu thuật hay can thiệp, người bệnh sau điều trị hồi phục nhanh, giảm nguy tử vong. Đây cũng là phương pháp được ứng dụng phổ biến và thành công trong điều trị tắc động mạch phổi cấp trên thế giới và một số Bệnh viện tuyến Trung ương tại Việt Nam.
Với đội ngũ bác sĩ được đào tạo bài bản, giàu kinh nghiệm, trang thiết bị y tế hiện đại, Bệnh viện Đa khoa tỉnh Thanh Hoá đã triển khai thường quy kỹ thuật tiêu sợi huyết đường tĩnh mạch, giúp cứu sống thành công rất nhiều trường hợp bệnh nhân đột quỵ nhồi máu não cấp, tắc mạch phổi nguy kịch… Qua đó khẳng định năng lực chẩn đoán và điều trị nhạy bén, chính xác cùng sự phối hợp chặt chẽ giữa các chuyên khoa sâu của đội ngũ bác sĩ Bệnh viện đã góp phần nâng cao hơn nữa hiệu quả điều trị, mở ra hy vọng và cơ hội phục hồi cho những bênh nhân trên địa bàn không may tắc mạch cấp tính thể nặng, nguy kịch vẫn có thể phục hồi hoàn toàn mà không phải chuyển lên tuyến trên.
Bài và ảnh: Phòng CTXH
