Các bác sĩ Bệnh viện Đa khoa tỉnh Thanh Hóa vừa thực hiện một ca cấp cứu nghẹt thở cứu sống một cách ngoạn mục trường hợp nam bệnh nhân 5 lần ngưng tim, ngưng thở, có nguy cơ tử vong rất cao do tắc động mạch vành.
Bệnh nhân N.V.K (51 tuổi, phường Quảng Thịnh, thành phố Thanh Hóa) có tiền sử khỏe mạnh, chưa từng điều trị các bệnh lý về tim mạch hay huyết áp. Tối ngày 24/01/2023 (tức tối mừng 3 Tết Nguyên đán Quý Mão), bệnh nhân đột ngột khó thở, đau tức ngực dữ dội. Ngay sau đó bệnh nhân được người nhà chuyển đến Trung tâm Cấp cứu, Bệnh viện Đa khoa tỉnh Thanh Hóa.
Tiên lượng bệnh nhân có thể mắc các bệnh lý về tim mạch cần can thiệp khẩn cấp, các bác sĩ Trung tâm Cấp cứu, Bệnh viện Đa khoa tỉnh Thanh Hóa đã kích hoạt hệ thống báo động đỏ cấp cứu nội viện, khẩn cấp liên hệ các chuyên gia khoa Tim mạch chuẩn bị trang thiết bị dụng cụ cấp cứu cho bệnh nhân. Bệnh nhân nhanh chóng được chuyển thẳng về Đơn vị Can thiệp tim mạch.
Vừa vào đến cửa phòng Can thiệp tim mạch, bệnh nhân bất ngờ lên cơn đau tức ngực dữ dội, mất ý thức, mạch và huyết áp không đo được. Ngay lập tức, các bác sĩ đã phải thực hiện các quy trình phản ứng nhanh khẩn cấp: hồi sức cấp cứu ngừng tuần hoàn, sốc điện 3 lần, đặt ống nội khí quản, bóp bóng. Bệnh nhân bắt đầu có mạch huyết áp, nhịp thở lại sau 5 phút cấp cứu.

Hình ảnh bệnh nhân ngưng tim, ngưng thở ngay tại cửa phòng Can thiệp tim mạch được chụp lại từ hệ thống camera của Bệnh viện
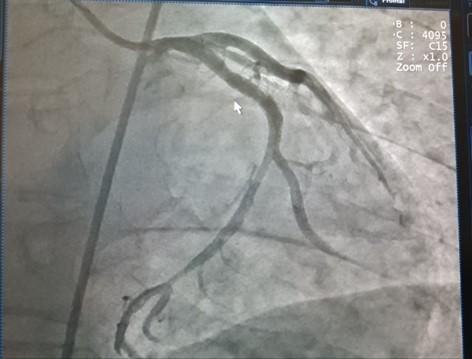
Sau đó, bệnh nhân được đưa vào phòng Can thiệp để tiến hành chụp động mạch vành và phát hiện có huyết khối gây tắc động mạch mũ, có chỉ định đặt stent. Tuy nhiên, trong quá trình can thiệp, bệnh nhân liên tiếp ngưng tim, ngưng thở thêm 4 lần nữa và rơi vào trạng thái hôn mê sâu. Để cứu sống bệnh nhân, Ê kíp bác sĩ vừa ép tim ngoài lồng ngực vừa sốc điện, vừa tiến hành can thiệp động mạch vành khẩn cấp cho bệnh nhân. Sau 10 phút nghẹt thở và căng thẳng, ê kíp các bác sĩ đã hồi sức cấp cứu và can thiệp thành công, lấy huyết khối, đặt stent tái thông động mạch vành cứu sống bệnh nhân.

Hình ảnh động mạch vành của bệnh nhân trước can thiệp

Hình ảnh động mạch vành của bệnh nhân sau can thiệp
Bệnh nhân được can thiệp thành công, tuy nhiên tình trạng còn rất nguy kịch, huyết động vẫn phụ thuộc vào thuốc vận mạch liều cao, hô hấp phải hỗ trợ thở qua nội khí quản. Bệnh nhân được chuyển về phòng hồi sức tích cực và chăm sóc đặc biệt vì nguy cơ cao ngừng tim do suy tim nặng, rối loạn nhịp tim nguy hiểm, biến chứng cơ học của nhồi máu cơ tim và các rối loạn chuyển hoá sau cấp cứu ngừng tuần hoàn.
5 ngày sau can thiệp, bệnh nhân được rút ống nội khí quản, tự thở, huyết động ổn định, hết đau ngực, khó thở, tình trạng sức khỏe tiến triển tốt và sẽ được xuất viện trong vài ngày tới.

Bác sỹ thăm khám cho bệnh nhân N.V.K sau 5 ngày can thiệp
Ths.Bs. Lê Thế Anh – Trưởng khoa Tim mạch, Bệnh viện Đa khoa tỉnh Thanh Hóa cho biết: “Đây là trường hợp cấp cứu tối khẩn cấp rất hy hữu đã được cứu sống một cách nghẹt thở và ngoạn mục vì chỉ trong vòng chưa đầy 15 phút kể từ khi vào viện, bệnh nhân có đến 5 lần ngưng tim, ngưng thở ngay cả trong lúc can thiệp. Đây là biểu hiện rất nặng của bệnh nhồi máu cơ tim tối cấp, bệnh nhân đau ngực giờ thứ nhất, khi đến bệnh viện người bệnh có dấu hiệu biến chứng rất nặng rung thất và ngừng tuần hoàn. Rất may là Bệnh viện Đa khoa tỉnh Thanh Hóa có đầy đủ các trang thiết bị can thiệp, đội ngũ các bác sĩ có trình độ chuyên môn vững, phản ứng nhanh, chẩn đoán chính xác cũng như phối hợp cấp cứu khẩn cấp giữa các chuyên khoa Nội tim mạch, can thiệp tim mạch và hồi sức tích cực một cách nhịp nhàng nên đã kịp thời cứu sống người bệnh. Chỉ cần thiếu 1 trong những điều trên thì nguy cơ bệnh nhân tử vong là rất cao”.
Qua trường hợp trên, Bác sĩ Lê Thế Anh đưa ra khuyến cáo: Nhồi máu cơ tim là căn bệnh có diễn biến cấp tính và nguy cơ tử vong cao nên cần được chẩn đoán điều trị kịp thời chính xác nhất. Không riêng nhồi máu cơ tim mà còn một số bệnh lý khác: loạn nhịp tim, hở van tim, suy tim,…, người bệnh không nên chủ quan với những triệu chứng thoáng qua vì đó có thể là những dấu hiệu để nhận biết và phát hiện sớm những bệnh lý tim mạch đặc biệt là ở những người có bệnh lý nền như: Tăng huyết áp, đái tháo đường, rối loạn lipid, mỡ máu, ….Vì vậy, người dân cần thường xuyên kiểm tra khám sức khỏe định kỳ 3-6 tháng/lần để tầm soát phát hiện sớm và điều trị kịp thời những bệnh lý về tim mạch, giúp bảo vệ trái tim khỏe mạnh.
Bài và ảnh: Phòng CTXH
