Ngày 18/4/2022, Bệnh viện Đa khoa tỉnh Thanh Hóa tiếp nhận và điều trị thành công cho một bệnh nhân hóc xương cá hy hữu. Bệnh nhân Nguyễn Thị T. (74 tuổi, quê Hậu Lộc, Thanh Hóa) nhập bệnh viện trong tình trạng trạng nuốt đau nhiều, sốt cao, ăn uống kém và sưng tấy toàn bộ vùng cổ trái.
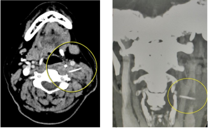
Bệnh nhân đã được khám lâm sàng kỹ lưỡng, nội soi tai mũi họng và chụp X-quang nhưng vẫn không phát hiện ra được dị vật. Các bác sĩ Khoa Tai Mũi Họng đã chỉ định chụp phim cắt lớp vi tính tiêm thuốc cản quang có dựng hình xương để đánh giá tình trạng ổ áp xe và xác định có dị vật xương cá ở vùng tổn thương hay không. Trên phim chụp cắt lớp, các bác sĩ đã phát hiện có dị vật xương cá ở vùng cổ dài khoảng 3 cm ở vùng cổ trái bệnh nhân. Điều đặc biệt, xương cá đã xuyên qua thành họng bệnh nhân nằm hoàn toàn ở phần mềm vùng cổ bên trái, và nằm ngay sau chỗ chia đôi của động mạch cảnh chung là một vị trí rất nguy hiểm có thể ảnh hưởng đến tính mạng.
Hình ảnh chụp cắt lớp vi tính
Sau quá trình hội chẩn, các bác sĩ khoa Tai Mũi Họng đã quyết định tiến hành phẫu thuật lấy xương cá và dẫn lưu ổ mủ trong cổ bệnh nhân với sự hỗ trợ của các bác sỹ phẫu thuật mạch máu. Sau 60 phút, các bác sĩ đã tiếp cận và bộc lộ được ổ áp xe ở vùng cổ bệnh nhân, tìm thấy mảnh xương cá nhọn hoắt ở vị trí đúng như đã xác định trên phim chụp và lấy xương ra an toàn. Bệnh nhân sau mổ hoàn toàn khỏe mạnh và dự kiến xuất viện sau 5 ngày.
BSCKII Nguyễn Văn Quang – Trưởng khoa Tai Mũi Họng – Bệnh viện Đa khoa tỉnh cho biết, khoa Tai Mũi Họng đã xử trí rất nhiều ca bệnh hóc xương cá. Xương cá thường bị mắc ở thành họng hoặc xuống dưới thực quản của bệnh nhân. Với xương cá mắc ở thành họng, hầu hết trường hợp bác sĩ chỉ cần nội soi Tai Mũi Họng thông thường là có thể gắp dị vật ra dễ dàng. Tuy nhiên, trường hợp xương cá đâm xuyên thành họng ra ngoài có thể gây nguy hiểm đến tính mạng, phẫu thuật tìm xương cá trong vùng cổ bệnh nhân cũng là một phẫu thuật rất khó bởi không khác gì mò kim ở trong đáy bể.
BCKII Nguyễn Văn Quang cũng cho biết thêm, những trường hợp hóc xương cần được nội soi Tai Mũi Họng và gặp dị vật ra càng sớm càng tốt bởi xương động vật sẽ gây hoại tử nhiễm trùng sau 24h. Có thể gây viêm họng, viêm tấy một bên cổ, áp xe cổ bên, thủng thực quản, áp xe trung thất, nếu không được xử lý kịp thời sẽ gây hậu quả khôn lường. Có rất nhiều bệnh nhân có tâm lý ngại ngùng vì hóc xương khi ăn nên cố gắng chịu đựng, hoặc có bệnh nhân nghĩ rằng có thể dùng tay móc họng để lấy xương ra hoặc dùng các biện pháp dân gian khác. Tuy nhiên các biện pháp đó sẽ làm tổn thương thêm thành họng hoặc làm thay đổi vị trí hóc xương xuống sâu hơn, gây khó khăn cho bác sĩ Tai Mũi Họng khi nội soi kiểm tra dị vật. Do vậy, các bác sĩ khuyên bệnh nhân không may hóc xương nên được nội soi Tai Mũi Họng sớm nhất có thể, tránh can thiệp các biện pháp không được bác sĩ khuyến cáo có thể gây nguy hiểm đến tính mạng.
Bài và ảnh: Phòng CTXH
