Bs CKII Lê Đình Vũ – Trưởng khoa Ngoại Tiết niệu
Giới thiệu
Thận móng ngựa là loại dị tật phổ biến nhất trong nhóm các bất thường do 2 thận hòa nhập vào nhau. Thận móng ngựa bao gồm hai quả thận hoạt động riêng biệt và kết nối lại ở cực dưới 2 thận bởi một eo nhu mô thận có chức năng hoặc chỉ là mô sợi băng ngang đường giữa của cơ thể. Thận móng ngựa xảy ra trong 1/400-800 ca sinh. Xuất hiện ở nam giới gấp 2 lần ở nữ giới.[1]
Đặc điểm giải phẫu bất thường thận móng ngựa thường nằm thấp hơn, xoay không bình thường, và bể thận thường nằm về phía trước của mỗi thận.Bản thân thận móng ngựa không gây triệu chứng. Tuy nhiên, bất thường giải phẫu học khiến thận móng ngựa dễ xuất hiện bệnh lý hơn so với thận bình thường. Việc cung cấp máu nhiều, hệ thống mạch máu bất thường, sự hiện diện của eo thận và bất thường của niệu quản cũng góp phần vào tỉ lệ ứ nước, hình thành sỏi, nhiễm khuẩn và ung thư cao hơn so với thận bình thường.
Bệnh lý phổ biến nhất ở thận móng ngựa là tắc nghẽn khúc nối bể thận niệu quản gây sự ứ trệ nước tiểu hoặc tắc nghẽn gây hướng nước và cản trở đường thoát của sỏi xảy ra trong 35% bệnh nhân và gây sỏi niệu xuất hiện ở khoảng 20% số bệnh nhân này [2].
Theo BS CKII Lê Đình Vũ : Cho biết Ngày nay có rất nhiều phương pháp điều trị sỏi thận ở thận như Tán sỏi qua da, tán sỏi ống mềm, tán sỏi ngoài cơ thể, mổ mở lấy sỏi… Tại BV ĐK tỉnh PP tán sỏi qua da đã được làm thường quy tại bệnh viện tuy nhiên PP này được áp dụng trên BN thận móng ngựa như một thách thức với các nhà ngoại khoa. Nhân một trường hợp thận móng ngựa đã được áp dụng phương pháp này thành công:
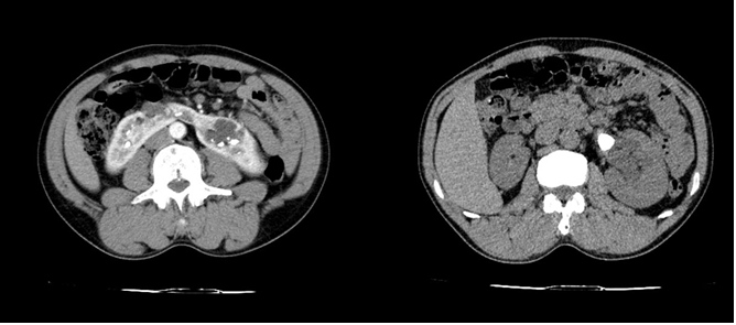
BN nam 46 tuổi tiền sử phát hiện sỏi thận cách 6 tháng chỉ điều trị nội khoa, vào viện ngày 3/5 do đau hông lưng bên T đau lan ra sau lưng, tiểu dắt buốt nhiều ngày. Đã đi khám nhiều nơi với mong muốn được phẫu thuật. BN vào viện được làm các xét nghiệm cơ bản, CDHA chụp CLVT có hình ảnh ứ nước thận T, sỏi thận T 01 viên bể thận KT 22×1.5mm ,01 viên đài dưới 12 x 18mm, trên thận móng ngựa.

Hình 1 Hình ảnh thận móng ngựa và vị trí sỏi trên CLVT
Bàn luận:
Ở BN này đều có sỏi rải rác ở 2 bên thận tiên lượng lấy sạch sỏi là rất khó khăn , sỏi gây giãn thận chủ yếu nằm ở bên T triệu chứng cũng điển hình bên T nhìn vào CLVT bể thận T xoay trước tuy nhiên vẫn có đường vào bể thận đài giữa. Sau khi hội chẩn các bác sỹ trong khoa chọn PP tán sỏi qua da cho BN.
BN được phẫu thuật tán sỏi qua da sau 3 ngày vào viện
Quá trình phẫu thuật:
Thì 1: BN được đặt catherter Niệu quản niệu đạo ở tư thế sản khoa
Thì 2: BN ở tư thế nghiêng P 90o, tiến hành chọc dò vào bể thận đài giữa quan sát siêu âm, tiếp cận sỏi qua bể thận và tán vụn sỏi bằng năng lượng laser, lấy sỏi vụn qua amplatz, sau mổ đặt dẫn lưu thận T bằng sonde Mono J size 14Fr

Hình 2 Hình ảnh siêu âm và sỏi trong quá trình phẫu thuật
Sau mổ BN được rút dẫn lưu thận ở ngày thứ 3, rút sonde tiểu và chụp XQ kiểm tra lại ở ngày thứ 4, ra viện ở ngày thứ 5. Kết quả bệnh nhân sạch sỏi.

Hình 3 Hình ảnh sỏi thận T trước và sau phẫu thuật.

Hình 4 Sẹo mổ của bệnh nhân dài khoảng gần 1cm.
Kết Luận:
Tán sỏi thận qua da đã có ưu điểm vượt trội như đường tiếp cận vào nhỏ, mất máu ít mà hiệu quả thật sự tốt ( Hình 3 ) đặc biệt trong những ca bệnh có bất thường về giải phẫu như thận móng ngựa, với các bất thường về giải phẫu như tăng số lượng mạch máu thận, vị trí xoay trước của bể thận. So với phương pháp mổ mở truyền thống để tiếp cận bể thận T là rất khó khăn có thể gây mất máu nhiều mà không đạt được hiệu quả lấy sỏi thận, tán sỏi qua da có ưu điểm vượt trội.
BVĐK tỉnh đã áp dụng phương pháp này đã lâu và thường quy không chỉ với những trường hợp sỏi thận thông thường mà còn áp dụng thành công ở những trường hợp khó như thận móng ngựa thận đơn độc.
Tài liệu tham khảo:
1. Bệnh viện Bình Dân ( 2017 ) – “ Hướng dẫn chẩn đoán và điều trị năm 2017 – Tập 2 ” , Sở Y Tế Thành Phố HCM
2. Vikram Satav, Vilas Sabale (2018) – Percutaneous nephrolithotomy of horseshoe kidney: Our institutional experience. “Urology Annals”. doi: 10.4103/UA.UA_152_17
