Thời gian qua, với việc không ngừng cập nhật các tiến bộ khoa học kỹ thuật, phương pháp điều trị can thiệp ít xâm lấn, với đội ngũ bác sĩ giàu kinh nghiệm, trình độ chuyên môn cao và trang thiết bị hiện đại trong chẩn đoán và điều trị, Bệnh viện Đa khoa tỉnh Thanh Hóa đã triển khai được nhiều kỹ thuật chuyên sâu chuyên ngành can thiệp tim mạch như: Sốc điện phá rung thất, sốc điện chủ động điều trị các rối loạn nhịp tim, đặt máy tạo nhịp tạm thời qua da, đặt máy tạo nhịp vĩnh viễn, cấy máy phá rung tự động (ICD), can thiệp và điều trị bệnh mạch vành, siêu âm trong lòng động mạch vành, thăm dò điện sinh lý tim và điều trị rối loạn nhip bằng phương pháp lập bản đồ ba chiều giải phẫu, điện học các buồng tim (3D Mapping), đặt Stent Graft động mạch chủ… từ đó góp phần nâng cao chất lượng khám, chữa bệnh tại Bệnh viện, giúp người dân được thụ hưởng các dịch vụ chuyên sâu ngay tại địa phương.
Một ca can thiệp tim mạch được thực hiện tại Bệnh viện Đa khoa tỉnh Thanh Hóa
Ngay trong dịp Tết Nguyên đán Ất Tỵ 2025, đã có rất nhiều bệnh nhân được can thiệp cứu sống kịp thời tại khoa Tim mạch Bệnh viện Đa khoa tỉnh Thanh Hóa. Trong đó có 2 trường hợp được thực hiện các kỹ thuật chuyên sâu là bệnh nhân N.V.K và bệnh nhân P.B.H.
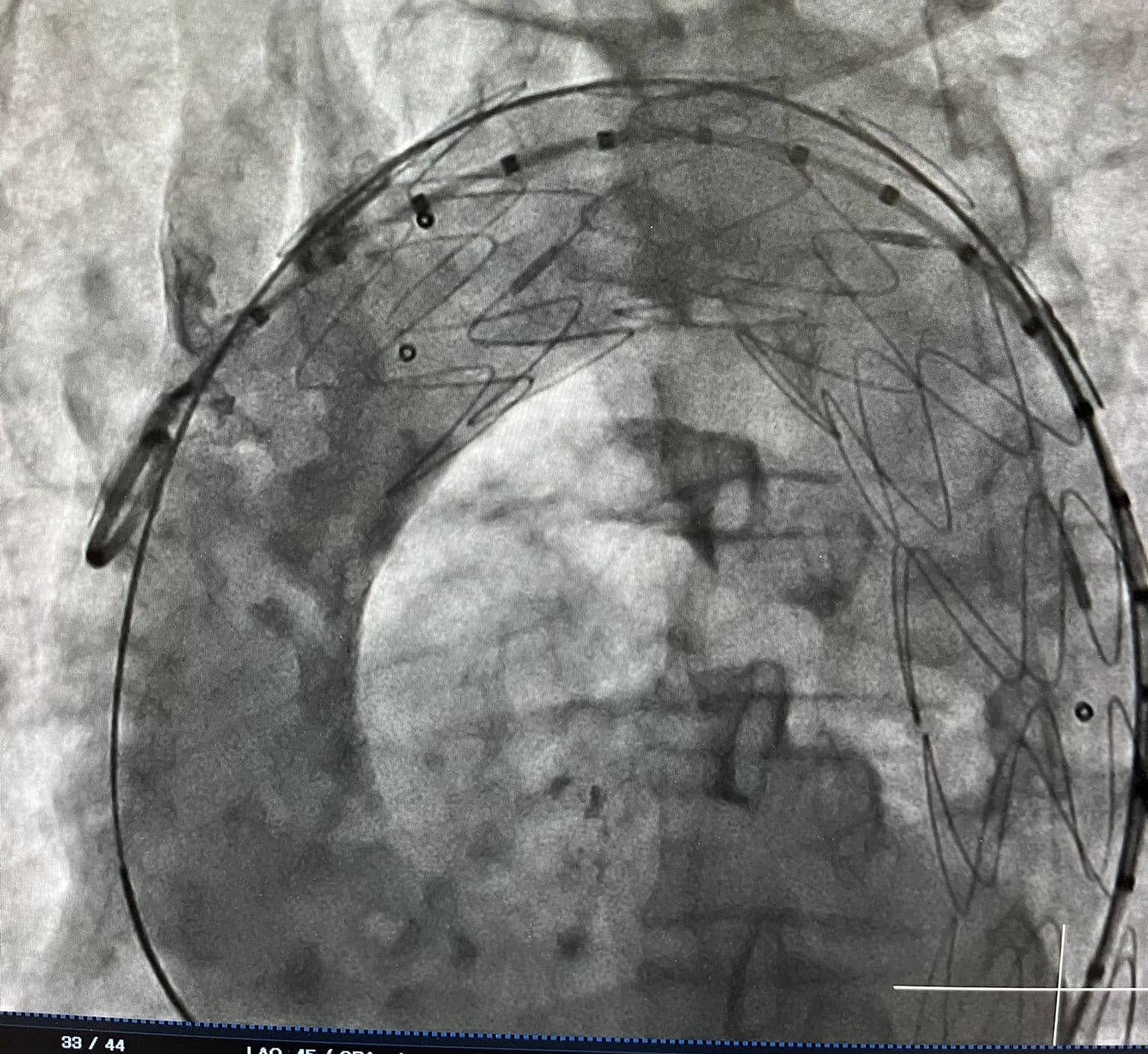
Bệnh nhân N.V.K (68 tuổi, thành phố Thanh Hóa), tiền sử tăng huyết áp, vào viện do đau ngực trái dữ dội, đau sau xương ức, đau như dao đâm, lan ra sau lưng. Qua thăm khám lâm sàng, các bác sĩ khoa Tim mạch đã nghĩ ngay đến đây là tình trạng đau ngực cấp nghi do bệnh lý động mạch chủ ngực. Bệnh nhân ngay sau đó được chụp cắt lớp vi tính động mạch chủ ngực thì phát hiện tổn thương loét xuyên thành động mạch chủ, nguy cơ vỡ rất cao.


Hình ảnh can thiệp của bệnh N.V.K trên máy chụp DSA
Sau khi hội chẩn, các bác sĩ đã lựa chọn phương án điều trị tốt nhất cho bệnh nhân can thiệp đặt stent graft động mạch chủ ngực. Gia đình bệnh nhân và bệnh nhân đã tin tưởng quyết định can thiệp tại BVĐK tỉnh Thanh Hoá.
Ngay sau can thiệp, bệnh nhân N.V.K hết tình trạng đau ngực trái và được xuất viện trong tình trạng khoẻ mạnh sau 3 ngày can thiệp.
Trường hợp thứ 2 là bệnh nhân P.B.H (63 tuổi, Quảng Thắng, TP Thanh Hóa) có tiền sử suy tim giai đoạn cuối (EF 31%) do bệnh cơ tim giãn, nhập viện nhiều lần do các đợt suy tim cấp, mặc dù đã được điều trị suy tim bằng thuốc tối ưu nhưng tình trạng suy tim xấu dần qua các đợt điều trị.
Hình ảnh các bác sĩ khoa Tim mạch đang can thiệp của bệnh nhân P.B.H
Theo TS.BS. Lê Thế Anh – Trưởng khoa Nội tim mạch, Bệnh viện Đa khoa tỉnh Thanh Hóa: Phương pháp điều trị tối ưu cho trường hợp bệnh nhân H. là cấy máy tái đồng bộ cơ tim (CRT) để hỗ trợ chức năng tim. Tuy nhiên chi phí cấy máy khá tốn kém, gia đình bệnh nhân không đủ khả năng chi trả.
Trước tình trạng bệnh nặng và hoàn cảnh khó khăn của bệnh nhân, các bác sĩ khoa Nội Tim mạch đã quyết định sử dụng kỹ thuật cấy máy 2 buồng với một điện cực ở tâm nhĩ và một điện cực tại xoang vành (gọi là phương pháp LV-only) có tính năng gần như cấy máy CRT nhưng chi phí thấp hơn. Đây là kỹ thuật hiện đại và là xu hướng tạo nhịp mới trên thế giới. Tại Việt Nam, kỹ thuật này hiện mới chỉ thực hiện được ở một số Trung tâm Can thiệp của các Bệnh viện tuyến Trung ương.
Sau 20 phút thực hiện thủ thuật, bệnh nhân đã được cấy máy thành công. Ngay sau cấy máy, bệnh nhân cải thiện rõ rệt triệu chứng lâm sàng, đỡ khó thở, đi lại bình thường, các xét nghiệm sau can thiệp cải thiện tốt.
TS.BS. Lê Thế Anh – Trưởng khoa Nội tim mạch thăm khám cho bệnh nhân P.B.H trước khi ra viện
TS.BS. Lê Thế Anh thông tin thêm: “Suy tim là điểm đến cuối cùng của các bệnh lý tim mạch, một trong những nguyên nhân gây tử vong hàng đầu, việc điều trị bằng thuốc có nhiều tiến bộ nhưng đối với suy tim giai đoạn cuối thì phương pháp điều trị sau cùng là cấy các thiết bị hỗ trợ cơ học như máy tạo nhịp, phương thức cấy máy tạo nhịp LV-only là một kỹ thuật cấy máy hiện đại phù hợp với những bệnh nhân suy tim giai đoạn cuối với chi phí không quá cao so với các kỹ thuật cấy đồng bộ cơ tim, đây là một kỹ thuật có thể xem là xu hướng mới trên thế giới trong điều trị các bệnh lý tim giai đoạn cuối..”
Với hệ thống máy móc, trang thiết bị can thiệp và mổ tim đồng bộ, hiện đại cùng nguồn nhân lực chất lượng cao, Bệnh viện Đa khoa tỉnh Thanh Hóa đã triển khai được nhiều dịch vụ kỹ thuật cao thuộc đầy đủ cả 3 chuyên ngành: Nội khoa, Phẫu thuật tim mạch, Can thiệp tim mạch trong điều trị tim mạch. Trong thời gian tới, Bệnh viện sẽ tiếp tục duy trì, hoàn thiện các kỹ thuật đang thực hiện và từng bước triển khai các kỹ thuật chuyên sâu về can thiệp tim mạch như: Thay van động mạch chủ qua đường ống thông (TAVI), Sửa van hai lá qua đường ống thông (Mitralclip), Chụp và can thiệp cầu nối động tĩnh mạch (FAV), Khoan cắt mảng xơ vữa động mạch ngoại vi, Can thiệp tim mạch bằng Robot….mở ra hy vọng điều trị cho các bệnh nhân mắc bệnh tim mạch phức tạp trên địa bàn tỉnh và các tỉnh vùng lân cận.
Bài và ảnh: Phòng CTXH
