Ngày 15/6/2020, Bệnh viện Đa khoa tỉnh Thanh Hóa đã tiến hành phẫu thuật cắt bỏ khối u sau phúc mạc thể schwannoma lớn cho một trường hợp bệnh nhân tên P.T.L nữ 54 tuổi trú tại huyện Hà Trung, Thanh Hóa. Kích thước khối u được cắt bỏ thành công là 30x50x100 mm.
Bệnh nhân cho biết gần đây có biểu hiện mệt mỏi nhiều, sút cân, tăng huyết áp phải dùng thuốc hạ áp hàng ngày nên đã đến khám bệnh tại Bệnh viện Đa khoa huyện Hà Trung và được các Bác sĩ ở đây chẩn đoán theo dõi u tuyến thượng thận phải. Bệnh nhân sau đó được chuyển lên Bệnh viện Đa khoa tỉnh Thanh Hóa để tiếp tục điều trị.
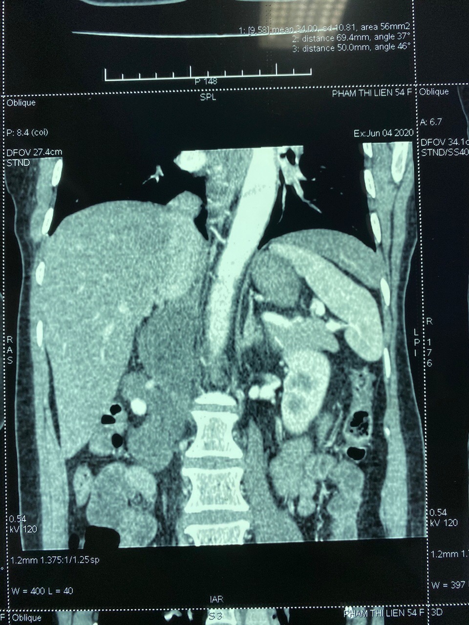
Ngay khi tiếp nhận bệnh nhân, các Bác sĩ của Bệnh viện Đa khoa tỉnh đã tiến hành thăm khám lâm sàng và cho bệnh nhân làm các xét nghiệm cơ bản và chuyên sâu. Kết quả xét nghiệm hormone ACTH, Cortisol, Catecholamin có kết quả bình thường. Hình ảnh chụp CT cho thấy phía sau phúc mạc phía bên phải cột sống, ngay cạnh và dưới tĩnh mạch chủ bụng, động mạch chủ bụng có vài khối giảm tỷ trọng kích thước 30x50x100 mm đè đẩy tuyến thượng thận phải, thận phải và tĩnh mạch chủ bụng, khối u này nằm sâu phía sau gan và trên thận. Bệnh nhân được chỉ định làm sinh thiết khối u bằng kim tru-cut dưới hướng dẫn của siêu âm, kết quả sinh thiết cho thấy đây là khối u sau phúc mạc thể Schwannoma.
Hình ảnh khối u trên phim chụp CT scanner
Xác định đây là một ca bệnh khó, hiếm gặp do khối u nằm ở vị trí khó và có kích thước lớn, các Bác sĩ đã tiến hành hội chẩn liên chuyên khoa gồm các chuyên khoa Ngoại Tiết niệu, Hồi sức tích cực 2, Phẫu thuật TKLN, Gây mê hồi sức. Sau hội chẩn, các Bác sĩ quyết định phẫu thuật mở cắt bỏ khối u cho bệnh nhân. Kíp phẫu thuật gồm Ts.Bs Trương Thanh Tùng (Trưởng phòng KHTH – Phó trưởng khoa Ngoại Tiết niệu), Bs Lê Đức Thành (Khoa HSTC 2), Bs Mai Thành Thắng (Khoa PTTK-LN) và kíp gây mê gồm Bác sĩ Lê Ngọc Sơn, KTV Đại, Nhung, Duyên (khoa GMHS). Bệnh nhân được gây mê đặt nội khí quản và được theo dõi huyết áp động mạch. Do có sự chuẩn bị chu đáo về nhân lực, trang thiết bị và sự phối hợp của tất cả các ê-kíp, ca mổ đã diễn ra thành công tốt đẹp. Sau hơn 2 giờ phẫu thuật, khối u được bóc và lấy ra nguyên vẹn, không bị xâm lấn hoặc tổn thương các tạng xung quanh, bệnh nhân không phải truyền máu.
Hình ảnh khối u sau khi được phẫu thuật
Sau phẫu thuật 7 ngày, bệnh nhân tỉnh táo, vết mổ khô, liền sẹo tốt, đã được cắt chỉ thưa, ăn uống bình thường, huyết áp ổn định và chuẩn bị ra viện.
Ts.Bs Trương Thanh Tùng thăm khám cho bệnh nhân
Ts.Bs Trương Thanh Tùng – Trưởng phòng KHTH, Phó trưởng khoa Ngoại Tiết niệu, Trưởng kíp phẫu thuật cho biết đây là một trong những trường hợp người bệnh bị u sau phúc mạc thể schwannoma lớn hiếm gặp do khối u nằm sâu phía sau gan và trên thận, cạnh các dây thần kinh, gây chèn ép lên các mạch máu lớn và các tạng trong ổ bụng, việc phẫu tích bóc u tế bào Schwann cũng tiềm ẩn nhiều nguy cơ rủi ro. Với trường hợp của bệnh nhân P.T.L, nếu không xử lý sớm, khối u này có thể gây chèn ép tĩnh mạch chủ gây ứ trệ tuần hoàn hoặc có thể bị vỡ, nguy hiểm đến tính mạng. Và trong quá trình phẫu thuật nếu không cẩn trọng sẽ gây rò tiêu hóa, rò tụy sau mổ, rò nước tiểu do tổn thương niệu quản…
Được biết, đây là một trong nhiều ca bệnh khó, ca bệnh hiếm gặp mà Bệnh viện Đa khoa tỉnh đã cứu chữa thành công, góp phần giảm tỷ lệ chuyển tuyến trên và tiết kiệm chi phí điều trị cho nhân dân trong tỉnh.
Bài và ảnh: Phòng KHTH

