Thực hiện kế hoạch công tác Đoàn và phong trào Thanh thiếu niên năm 2022,
Thực hiện kế hoạch số 05/KH-CCB ngày 28/10/2021 của Hội Cực chiến binh Khối Cơ
Thực hiện Hướng dẫn số 138-HD/ĐTN ngày 16/11/2021 của BTV Đoàn Khối Cơ quan và
Dịch bệnh COVID-19 bùng phát, “cặp đôi đặc biệt” của Bệnh viện Đa khoa tỉnh
Hòa chung không khí phấn khởi, vui tươi kỷ niệm 112 năm ngày Quốc tế
Suy giãn tĩnh mạch là bệnh lý thường gặp ở người lớn tuổi, tuy nhiên
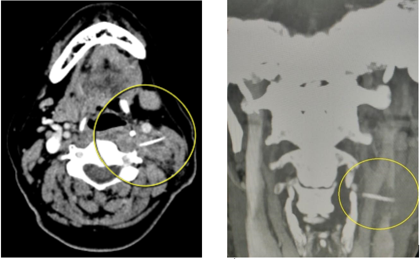
(Baothanhhoa.vn) – Bệnh viện Đa khoa tỉnh Thanh Hóa vừa tiếp nhận và phẫu thuật cấp
Mặc dù đang mắc Covid-19, nhưng hàng chục bác sĩ, điều dưỡng, nhân viên y tế
(Baothanhhoa.vn) – Từ sau Tết nguyên đán số ca mắc COVID-19 trên địa bàn tỉnh gia
Hàng năm, mỗi ngành nghề lao động đều có cho mình một ngày lễ, ngày
Dịch COVID-19 ngày càng căng thẳng, số bệnh nhân mắc tăng nhanh, gây áp lực